Vijfvoudige MOVAT kleuring,
Doel,
Uitvoeren van een meervoudige histologische kleuring met als doel zoveel mogelijk weefsels aan te kleuren in diverse kleuren en kleurvariaties zodat een duidelijk overzicht van de coupe verkregen wordt.
Inleiding,
De MOVAT kleuring is een pentachroom (Penta = Grieks scheikundig telwoord voor 5)[1] kleuring die oorspronkelijk is ontwikkeld door Henry Zoltan Movat in 1955. De kleuring is in 1972 vereenvoudigd door H.K. Russell[2].
Uitvoering,
In het Duitse blad 'Mikroskopie', Jahrgang 2, Nr. 4/2015, Seite 204–208[3], kwam deze kleuring bij de auteur onder de aandacht en besloot daarop om het te gaan proberen.
De MOVAT kleuring uit het artikel is onveranderd uitgevoerd met uitzondering van enkele kleurtijden.
Het te kleuren materiaal bestond uit jonge muizen van 8 dagen oud. Gefixeerd in Bouin voor een perioden van 6 maand. Dit om het reeds gevormde botweefsel te laten ontkalken door het aanwezige picrinezuur en azijnzuur uit het fixatief. Na fixatie werden de muizen gedehydrateerd te beginnen bij ethanol 70%. Er is dus niet zoals gebruikelijk gespoeld met water, dit om te voorkomen dat het bindweefsel zal opzwellen. Na 70% volgde 85%, 95% en 100% ethanol. Alle stappen in 24uurs modus. Na de ethanolen volgden 2 stappen xyleen. Daarna werden de muizen behandeld in een mengsel van xyleen en paraplast (50%/50%). Diverse baden paraplast 100% volgden waarna de muizen werden uitgegoten in daarvoor bestemde vormen (belangrijk is dat bij het laatste paraplastbad geen xyleen meer geroken kan worden. Is dit wel het geval dan moeten de paraplastbaden opnieuw genomen worden met schone paraplast en de tijden langer genomen worden.
MOVAT[3] | Voorgeschreven | Uitgevoerd |
Alcian blauw 20min KT of 10min 56° | 20 min | 20 min |
Spoelen leidingwater | 5 min | 5 min |
Stabiliseren in Ethanolisch ammoniak | 5 min | 5 min |
Spoelen leidingwater | 10 min | 10 min |
Spoelen AD | 5 sec | 5 sec |
Kernkleuring IJzerhaematoxyline | 10 min | 5 min |
Spoelen AD | 5 sec | 5 sec |
Blauwen in water | 15 min | 10 min |
Brilliant croceine Fuchsine | 10 min | 10 min |
Kort spoelen IJsazijn 0,5% | ≈ 10 sec | ≈ 10 sec |
Differentiëren in fosforwolfraamzuur 5% | 20 min | 20 min |
Spoelen IJsazijn 0,5% | 2 min | 2 min |
Ethanol 100% | 3 x 5 min | 3 x 5 min |
Safran du Gatinais | 60 min | 60 min |
Spoelen AD | ≈ 10 sec | ≈ 10 sec |
Isopropanol 100% I en II | 2 x 4 min | 2 x 4 min |
Xylol I en II | 2 x 4 min | 2 x 4 min |
Malinol/Euparal/Depex | Depex |
Alcianblauw[3]: - 1g Alcianblauw oplossen in 100ml AD (verwarmen tot 60 graden Celcius); - Na afkoeling 1ml IJsazijn 100% toevoegen en filteren. |
IJzerhaematoxyline volgens Weigert[3]: Oplossing A: 1g Haematoxyline oplossen in 100ml ethanol 96%; Oplossing B: 1,16g IJzer(III)chroride (FeCL3 x 6H2O) oplossen in 100ml AD, daarna 1ml zoutzuur 25% toevoegen. Kleuroplossing: Oplossing A en B (1:1) mengen. Kleuroplossing is ongeveer 1 week houdbaar. De basisoplossingen zijn onbeperkt houdbaar. |
Brillant Croceine-Fuchsine[3]: Oplossing A: 0,1g Brillant Croceine oplossen in 99,5ml AD. 0,5ml IJsazijn 100% toevoegen. Oplossing B: 0,1g Fuchsine zuur oplossen in 99,5ml AD. 0,5ml IJsazijn 100% toevoegen. Kleuroplossing: 8 delen oplossing A en 2 delen oplossing B mengen. Kleuroplossing is meerdere maanden houdbaar. |
Safran du Gatinais[3]: - 6g Safran du Gatinais oplossen in 100ml ethanol 100%. - voor gebruik in luchtdichte fles 48uur op 50°C verwarmen en de stof extraheren[4]. Kleuroplossing is luchtdicht verpakt beperkt houdbaar. Om de dure kleurstof maximaal te benutten is het raadzaam de oplossing om te rekenen naar een bruikbare hoeveelheid en zo alleen te verbruiken wat benodigd is. |
Resultaten,
De uitvoering van de kleuring lijkt heel omslachtig maar viel in de praktijk mee. Uiteraard is belangrijk om een langdurige kleuring goed voor te bereiden. Het inplannen van voldoende tijd is hierbij essentieel. Verder moeten alle materialen klaar staan en in een goede volgorde worden gezet zodat geen fouten gemaakt worden bij de uitvoering. De auteur maakt gebruik van een excel sheet waar alle stappen vermeld staan en afgevinkt kunnen worden. Voorbeeld hiervan staat hiernaast afgebeeld.
Om het preparaat duurzaam te maken is gekozen voor Depex als inbedhars. Een uitspraak over duurzaamheid van de kleuring kan niet worden gedaan.
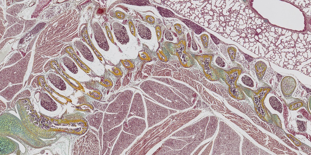
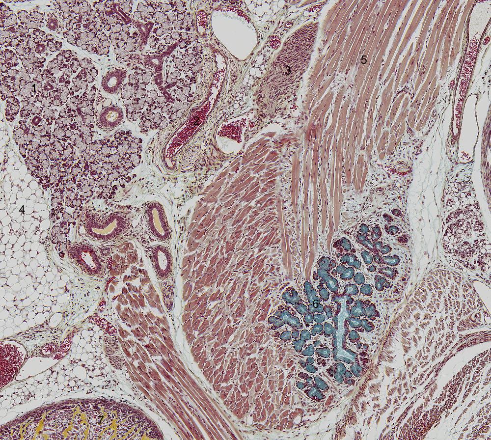
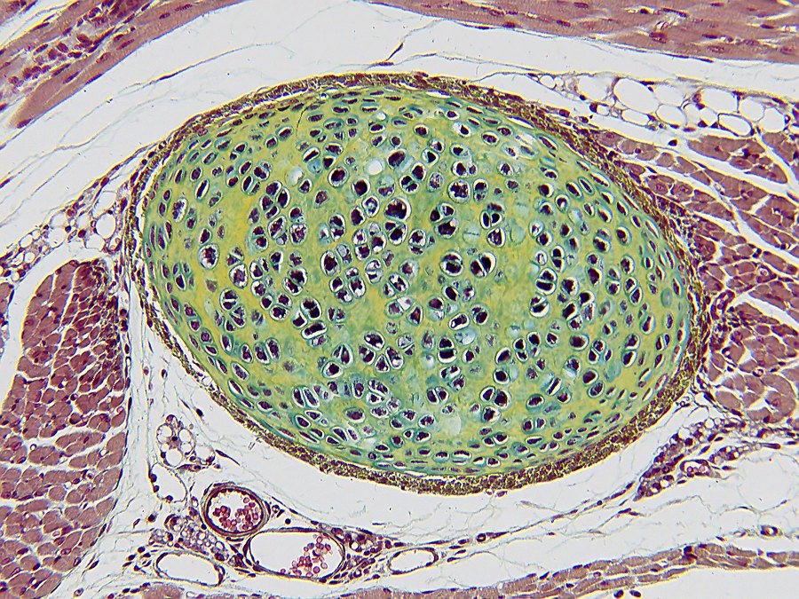
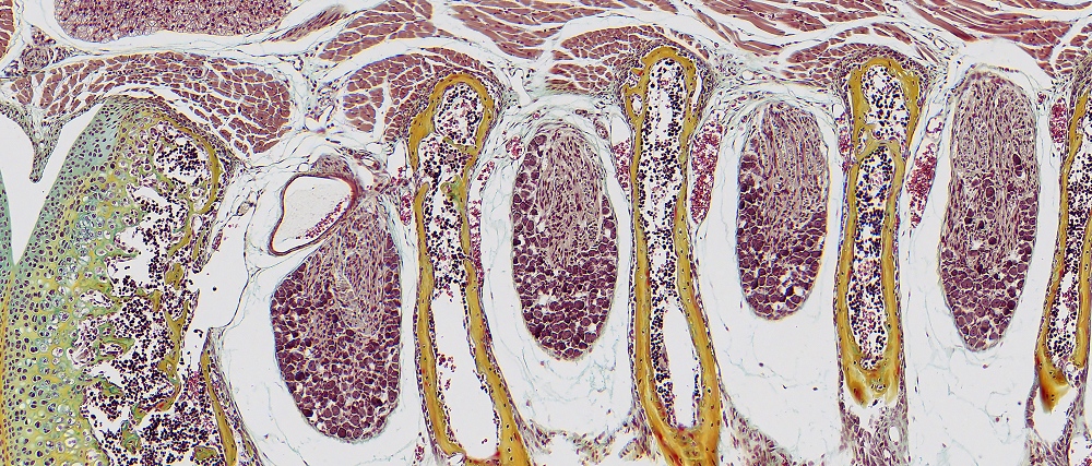
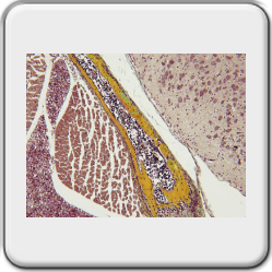
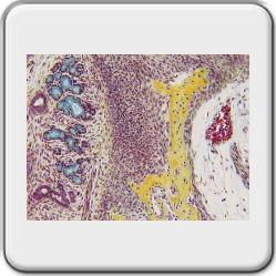
De getoonde preparaatfoto's tonen de kleurenpracht van de MOVAT kleuring.
Klik op de afbeeldingen,
Bronvermelding:
[2] Wikipedia, de vrije Engelstalige encyclopedie, https://en.wikipedia.org/wiki/Movat%27s_stain
[3] Artikel uit: 'Mikroskopie', Jahrgang 2, Nr. 4/2015, S. 204-208. M. Torzewski of kijk op de downloadpagina
[4] Wikipedia, de vrije Nederlandstalige encyclopedie, https://nl.wikipedia.org/wiki/Extractie_(scheikunde)