Tandvorming in een vijf dagen oude muis - De wereld onder de microscoop

De wereld onder de microscoop
De wereld onder de microscoop
Ga naar de inhoud
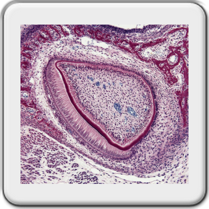
Tandvorming in een vijf dagen oude muis in verschillende histologische kleuringen.
De twee gele circels in de afbeelding geven de locatie van de tandvorming aan. Links de onderkaak en rechts de bovenkaak van een vijf dagen oude muis. Gefixeerd in Bouin en gekleurd met PTAH volgens Mallory.
Tanden ontwikkelen zich door de interactie tussen het ectoderm[1] van de mondholte en het speciale mesenchym[1] daaronder, dat afkomstig is uit de neurale lijst en ectomesenchym wordt genoemd.
Een tandknop differentieert via het tandkapstadium naar de tandklok met buitenste en binnenste glazuurepitheel.
Alle hier getoonde beelden zijn van het klok stadium.
De odontoblasten vormen het niet-verkalkte predentine waaruit het verkalkte dentine[1] wordt gevormd.
Dentine kan het hele leven door de odontoblasten worden gevormd en bestaat net als bot uit organisch materiaal, vooral collageen van type 1 en 70% anorganisch hydroxyapatiet[1].
De ameloblasten vormen het glazuurprisma. Ameloblasten zijn lange smalle cellen met een langgerekte lichtgekleurde kern.
Glazuur wordt alleen tijdens de tandontwikkeling gevormd door de ameloblasten van het binnenste glazuurepitheel en bestaat voor ongeveer 95% uit anorganische bestanddelen, voornamelijk hydroxyapatiet. Het glazuur vormt de buitenste laag van de tandkroon[2].

Alle hier getoonde afbeeldingen zijn gemaakt op een Leitz Orthoplan microscoop met Fluotar en Apo objectieven en een Moticam 2300 camera.
1 = glazuurpulp;
2 = stratum intermedium;
3 = ameloblasten (binnenste glazuurepitheel);
4 = secreetgranulum;
5 = glazuur;
6 = dentine;
7 = predentin;
8 = odontoblasten;
9 = tandpapil (vroege tandpulp).
      Kleurprotocol van de toegepaste PTAH kleuring [3]
PTAH (Fosforwolfraamheamatoxyline) [3]
Paraffinecoupes via xylol en dalende alcoholreeks in water brengen
stappen van 4 min
Oxideren in kaliumpermanganaat 0,25%
10 min
Spoelen AD

Oxaalzuur 5% (mangaandioxide verwijderen)
10 min
Spoelen AD
Fosforwolfraamhaematoxyline16 uur
Ethanol 96% (dus niet eerst met AD spoelen)
≈ 1 min
Ethanol 96%
1 min
Isopropanol 100% 2x4 min
Xylol 14 min
Xylol 24 min
Insluiten in bv Depex, Euparal, Malinol
Fosforwolfraamhaematoxyline:
- A: 1g  haematoxyline  oplossen onder verwarmen in 50ml AD;
- B: 20g fosforwolfraamzuur oplossen in 50ml AD;
- A en B mengen en enkele weken laten rijpen (eventueel kunstmatig rijpen door toevoeging van 0,177g kaliumpermanganaat).
(Het is handig om te rijpen in bijvoorbeeld een open erlenmeyer en af en toe te schudden. Dek af met bijvoorbeeld een omgekeerde koffiefilter).
Bronvermelding:
[1] Wikipedia, de vrije encyclopedie,  https://nl.wikipedia.org/wiki/Hoofdpagina
[2] Prof. Dr. med. Dr. rer. nat. Ulrich Welsch, Elsevier GmBH, Urban&Fischer Verlag München, Sobotta Welsch Lehrbuch Histologie (2006, tweede druk), Hoofdstuk 10, pag. 342 - 346, 'Verdauungsorgane', ISBN 978-3-437-44430-2.
[3] Romeis, Prof. Dr. Peter Böck, Urban & Schwarzenberg München 1989, Mikroskopische technik (1989, zeventiende druk), Hoofdstuk 25, pag. 507, 'Binde- und Stützgewebe', par. 1.3.4.4, Phosphorwolframhämatoxylin nach Mallory, ISBN 3-541-11227-1
[4] Romeis, Prof. Dr. Peter Böck, Urban & Schwarzenberg München 1989, Mikroskopische technik (1989, zeventiende druk), Hoofdstuk 8, pag. 235, 'Färben', par. 2.5.1, Doppelfärbung mit Hämalaun-Eosin (H&E), ISBN 3-541-11227-1
[5] Romeis, Prof. Dr. Peter Böck, Urban & Schwarzenberg München 1989, Mikroskopische technik (1989, zeventiende druk), Hoofdstuk 25, pag. 499, 'Binde- und Stützgewebe', par. 1.3.1.4, Trichromfärbung nach Goldner, ISBN 3-541-11227-1
[6] Romeis, Prof. Dr. Peter Böck, Urban & Schwarzenberg München 1989, Mikroskopische technik (1989, zeventiende druk), Hoofdstuk 25, pag. 501, 'Binde- und Stützgewebe', par. 1.3.1.7, Azanfärbung nach Heidenhain, ISBN 3-541-11227-1
[7] Romeis, Prof. Dr. Peter Böck, Urban & Schwarzenberg München 1989, Mikroskopische technik (1989, zeventiende druk), Hoofdstuk 8, pag. 236, 'Färben', par. 2.5.2, Dreifachfärbung nach van Gieson (1889), ISBN 3-541-11227-1
© R. Schulte
Terug naar de inhoud