Anatomische begrippen,
De anatomische positie[1],
Als de anatomie van de mens of een andere diersoort beschreven wordt, is het handig om het betreffende onderwerp (mens of dier) te bestuderen en te beschrijven in de standaardanatomische positie, om verwarring tussen voor of achter en onder of boven te voorkomen. Dit is meestal de positie die mens of dier in normale omstandigheden ook aanneemt. Voor mensen is de standaardanatomische positie een rechtopstaande positie, met de voeten bij elkaar (en de tenen voorwaarts gericht), met de armen langs de zijden hangend en de handpalmen voorwaarts gericht (figuur 1). De duim is dus voor de oriëntatie anatomische gedefinieerd als het meest buitenwaarts gerichte lichaamsdeel. Links en rechts zijn altijd gedefinieerd vanuit het perspectief van de patiënt. Het hart bevindt zich dus in de linkerzijde van de thorax. Een dwarsdoorsnede wordt, tenzij anders aangegeven, vanuit het voeteneinde beschouwd. Bij een dwarsdoorsnede op thoraxniveau bevindt het hart zich dus aan de rechterzijde en de wervels zich aan de onderzijde van de afbeelding. Bij viervoeters is de standaardanatomische positie dat het dier met zijn vier poten op de grond staat, met het hoofd in een neutrale positie vooruit kijkend.
Anatomische vlakken[1],
Drie soorten vlakken worden gebruikt in de anatomie.
• Een sagittaal vlak verdeelt het lichaam in een linker- en in een rechterdeel.
• Het midsagittale (of mediaan) vlak is dan het vlak, dat het lichaam precies middendoor deelt.
• Een frontaal vlak verdeelt het lichaam in dorsale en ventrale gedeelten (bij de mens: in een voor- en achtergedeelte).
• Een transversaal vlak of horizontaal vlak verdeelt het lichaam in een craniaal en caudaal gedeelte, of in het geval van de mens in een boven- en ondergedeelte.
Aanduiding van posities[1],
Voor algemeen gebruik,
De meesten dieren hebben meestal één uiteinde waar zich kop en bek bevindt, en één met de anus en vaak een staart. Het uiteinde met de kop of het hoofd is de craniale zijde, het einde met de staart is de caudale zijde. In het Latijn betekent cranium namelijk schedel, en cauda betekent staart. De longen van een hond, bijvoorbeeld, bevinden zich meer craniaal (richting het hoofd) dan bijvoorbeeld de darmen van de hond, die meer caudaal liggen.
Wanneer men een locatie in de kop van het dier wil aanduiden, gebruikt men de term rostraal voor weefsels of organen die meer richting de neus liggen, en de term caudaal (wederom) voor weefsels die verder van de neus af, en dus meer richting de staart liggen.
Het deel van het lichaam dat normaal naar boven gericht is, het verst van de grond af, is de dorsale zijde (dit komt van het Latijnse woord voor rug, omdat het hier meestal ook om de rug gaat), het tegenovergestelde deel, dat normaal bij een dier naar beneden gericht is, het dichtst bij de grond, is de ventrale zijde (naar het Latijnse woord voor buik).
Enkele voorbeelden: in gewervelde dieren is de wervelkolom gelegen aan de dorsale zijde van het lichaam. De dorsale vin van een dolfijn is, weinig verrassend, gelegen aan de dorsale zijde van het dolfijnenlichaam. De uier van een koe bevindt zich aan de ventrale zijde van het koeienlichaam. De termen kunnen ook een relatieve richting aangeven. Zo zullen de nieren in een hond meer dorsaal liggen dan de darmen, die meer ventraal liggen. Bij de ledematen of andere aanhangsels van een dier is een punt dat dichter bij de lichaamsromp ligt proximaal, terwijl een punt verder weg distaal genoemd wordt.
De rechter- en linkerkant van een dier (in het Latijn soms aangeduid met dexter - rechts en sinister - links) worden altijd benoemd vanuit het dier gezien.
Voor gebruik in de menselijke anatomie[1],
De bovengenoemde termen worden ook in de menselijke anatomie gebruikt. Hierbij dient opgemerkt te worden dat ventraal en dorsaal nog altijd de buik- en rugzijde van de mens beschrijven, maar omdat een mens rechtop loopt, beschrijven deze termen bij de mens niet de zijden het dichtst bij, of het verst af van de grond, zoals dat bij viervoeters wel het geval is.
Specifieke termen[1],
In de menselijke anatomie worden echter ook nog andere termen gebruikt, die niet bij de dierlijke anatomie gebruikt worden.
In mensen worden delen van het lichaam die zich dichter bij het hoofd bevinden superior genoemd (Latijn voor: hoger), maar de term craniaal wordt ook gebruikt. De delen die zich verder van het hoofd af bevinden worden caudaal genoemd, maar ook wel inferior (Latijn voor: lager). Punten aan de voorzijde worden anterior (Latijn: naar voren) genoemd, maar soms ook, net als bij de dieren, ventraal. Punten aan de achterzijde worden posterior (Latijn: naar achteren) of dorsaal genoemd.
Relatieve posities[1],
Structuren dichtbij de middellijn van het lichaam worden mediaal genoemd, terwijl structuren die meer aan de zijden liggen (meer links of rechts van het midden), lateraal worden genoemd. Ipsilateraal betekent, dat twee (of meer) structuren zich aan dezelfde zijde bevinden (links of rechts), terwijl contralateraal betekent, dat twee structuren zich aan verschillende zijdes bevinden. Bilateraal betekent dat beide zijden betrokken zijn, bij unilateraal gaat het slechts om één van beide zijdes.
Bij ledematen of aanhangsels beschrijven de woorden proximaal of distaal, of de woorden centraal of perifeer, of een bepaald punt zich dichterbij of verder van de aanhechting van de ledemaat of het aanhangsel aan het lichaam bevindt. De woorden proximaal en centraal geven dan een punt dichter bij het aanhechtingspunt aan het lichaam aan, terwijl de woorden distaal en perifeer een punt verder weg aangeven. De elleboog is zo proximaler of centraler gelegen dan de pols, die distaler of meer perifeer gelegen is. " Ook bij buisvormige structuren in het lichaam (darmen, bloedvaten, urinewegen e.d.) kan men de woorden proximaal en distaal gebruiken om punten meer aan het begin of aan het einde van de buis aan te geven. Bij een buizensysteem waarbij vloeistoffen heen en/of weer stromen van en naar een orgaan, kan men ook de termen afferent en efferent gebruiken, waarbij het afferente vat of de afferente buis zorgt voor aanvoer naar een bepaald orgaan toe, terwijl het efferente vat de vloeistof altijd afvoert.
Structuren die dichterbij het lichaamsoppervlak liggen zijn superficieel gelegen ten opzichte van voorwerpen die dieper gelegen zijn.
In het lichaam kan men nog spreken van visceraal en pariëtaal, waarbij visceraal betekent, dat de betreffende structuur gehecht is aan, of geassocieerd met de ingewanden, en pariëtaal dat het gehecht is aan de lichaamswand (van borst- of buik). Zo heeft bijvoorbeeld het longvlies (de pleura) een deel dat gehecht is aan de longen (dit heet het viscerale deel) en een deel dat gehecht is aan de binnenkant van de borstkas (dit is het pariëtale deel).
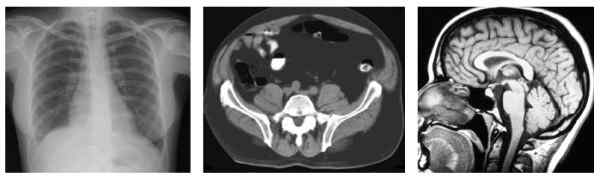
Links: röntgenfoto van de thorax in het frontale vlak; midden: CT-scan van het abdomen in het transversale vlak; rechts: MRI-scan van de hersenen in het sagittale vlak.
| anterior | meer naar voren gelegen (in de menselijke anatomie synoniem met ventraal = aan de buikzijde; in de vergelijkende anatomie synoniem met cephaal en craniaal = aan de kopzijde) |
| apicaal | naar de top toe |
| basaal | aan of bij de basis liggend |
| caudaal | aan de staartzijde (zie posterior) |
| cephaal | aan de kopzijde (zie anterior) |
| craniaal | aan de kopzijde (zie anterior) |
| distaal | in de richting van het uitsteeksel |
| dorsaal | aan de rugzijde (zie posterior) |
| frontaal | horizontale overlangse snede (term ontleend aan menselijke anatomie) |
| inferior | meer naar onderen (in de menselijke anatomie synoniem met caudaal) |
| lateraal | naar de zijde toe |
| mediaal | naar het midden toe |
| mediaan | sagittaal snijvlak, precies door de middellijn |
| posterior | meer naar achteren gelegen (in de menselijke anatomie synoniem met dorsaal= aan de rugzijde; in de vergelijkende anatomie synoniem met caudaal = aan de staartzijde |
| proximaal | in de richting van de basis (wordt gebruikt bij ledematen, uitsteeksels en zenuwen) |
| rostraal | aan de kopzijde (wordt gebruikt bij ledematen, uitsteeksels en zenuwen) |
| sagittaal | verticaal-overlangs snijvlak (van kop naar staart) |
| superior | meer naar boven (in de menselijke anatomie synoniem met cephaal) |
| transversaal | dwars snijvlak |
| ventraal | aan de buikzijde (zie anterior) |
Bronvermelding:
[1] Wikipedia, de vrije encyclopedie, https://nl.wikipedia.org/wiki/Anatomische_termen_van_positie#Anatomische_vlakken