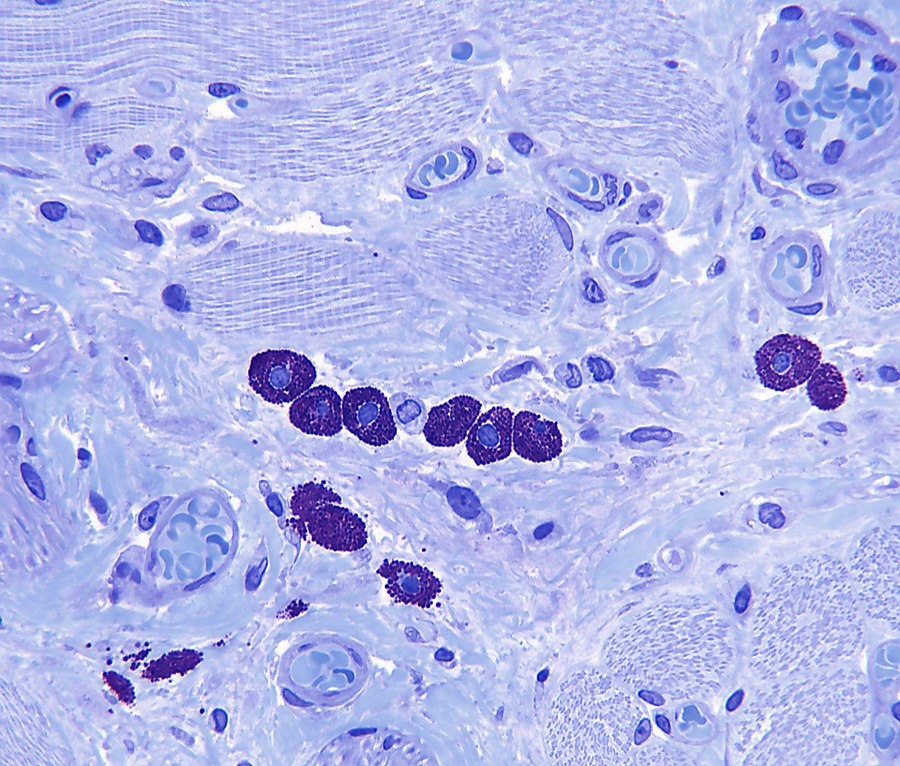
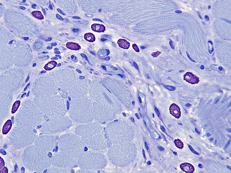
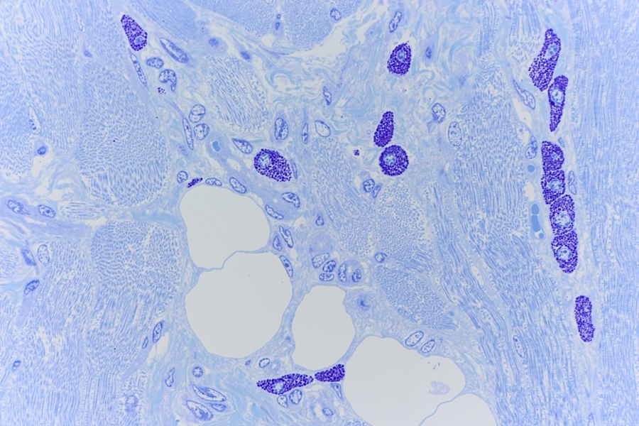
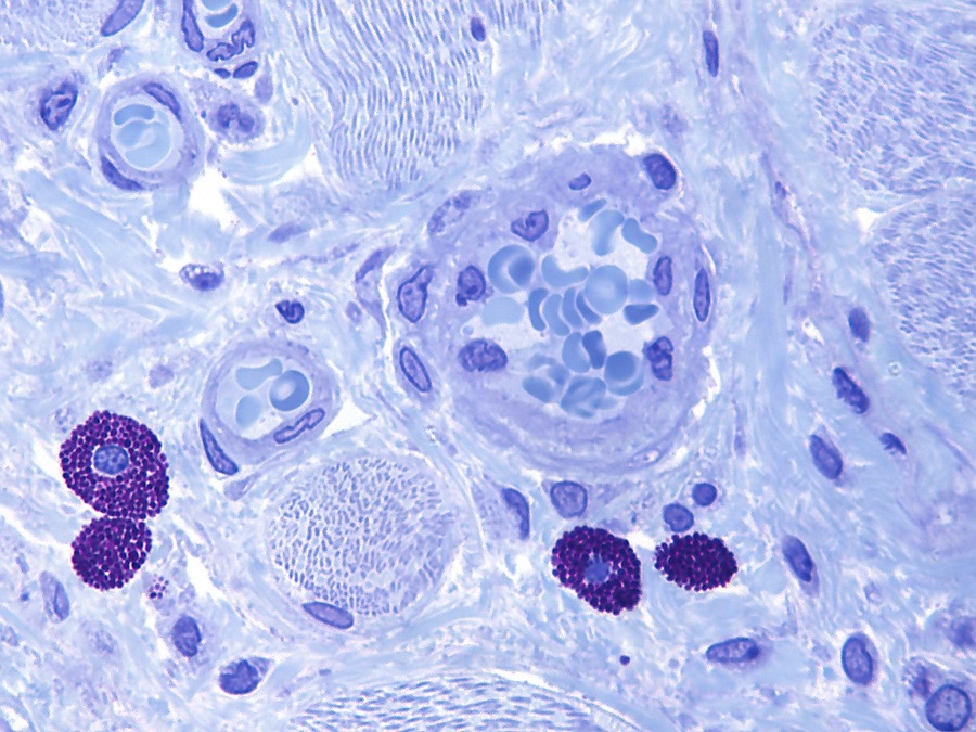
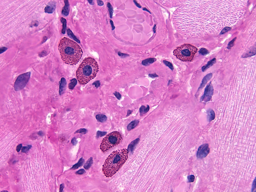
Gegranuleerde mestcellen in tong van een muis.
Mestcellen, anatomie en voorkomen[1]
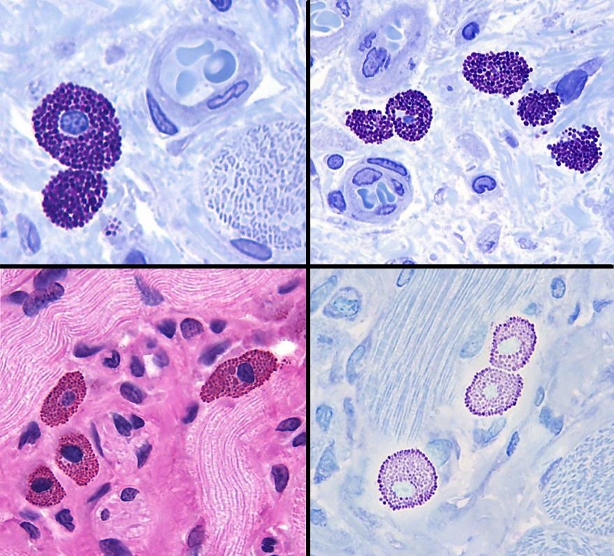
Mestcellen zijn ovale tot ronde cellen met een doorsnede van 20-30µm, waarvan het cytoplasma rijkelijk gevuld is met basofiele granula. De centrale, ronde kern gaat bij bestudering in een lichtmicroscoop vaak schuil achter de granula. In een coupe vervaardigd uit paraffine zijn de afzonderlijke granulaatkorrels en celkern vaak minder goed zichtbaar. In een coupe van kunststof zoals Technovit of Epon is de coupedikte zo gering dat de mestcel meestal wel met granulaat en kern duidelijk zichtbaar kan worden gemaakt. Zie afbeeldingen op de website (Red).
Mestcellen zijn tamelijk lang levende cellen en zijn, in tegenstelling tot de andere vaste bindweefselcellen, waarschijnlijk afkomstig van een stamcel[2] in het beenmerg[2]. De cel komt door het hele lichaam voor, maar vooral in de dermis[2] (rond de bloedvaten), het darmkanaal en de luchtwegen. De cellen kunnen zichtbaar gemaakt worden door een metachromatische kleurreactie[3], waarin toluidineblauw de granula roodachtig purper kleurt, doordat zij gesulfateerde glycosaminoglycanen[2] bevatten.
Mestcellen zijn tamelijk lang levende cellen en zijn, in tegenstelling tot de andere vaste bindweefselcellen, waarschijnlijk afkomstig van een stamcel[2] in het beenmerg[2]. De cel komt door het hele lichaam voor, maar vooral in de dermis[2] (rond de bloedvaten), het darmkanaal en de luchtwegen. De cellen kunnen zichtbaar gemaakt worden door een metachromatische kleurreactie[3], waarin toluidineblauw de granula roodachtig purper kleurt, doordat zij gesulfateerde glycosaminoglycanen[2] bevatten.
Mestcellen, functie[1]
Mestcellen hebben een functie bij de vorming, opslag en afgifte van mediatoren[2], die in de directe omgeving een rol spelen bij ontstekings- en overgevoeligheidsreacties. Een van deze verbindingen is heparine, dat bloedstolling kan tegengaan. Hiernaast bevatten granula van mestcellen nog andere biologische actieve stoffen, zoals histamine (vaatverwijding) en neutrale proteasen[2].
Mestcellen tonen grote overeenkomsten met de veel kleinere basofiele granulocyten van het bloed. Zij zijn echter van een andere stamcel in het beenmerg afkomstig.
Mestcellen hebben een functie bij de vorming, opslag en afgifte van mediatoren[2], die in de directe omgeving een rol spelen bij ontstekings- en overgevoeligheidsreacties. Een van deze verbindingen is heparine, dat bloedstolling kan tegengaan. Hiernaast bevatten granula van mestcellen nog andere biologische actieve stoffen, zoals histamine (vaatverwijding) en neutrale proteasen[2].
Mestcellen tonen grote overeenkomsten met de veel kleinere basofiele granulocyten van het bloed. Zij zijn echter van een andere stamcel in het beenmerg afkomstig.
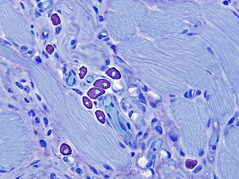
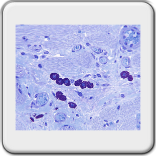
Mestcellen in een muizen tong preparaat
In de afbeelding zijn getekende mestcellen te zien zoals opgetekend door Professor Doctor Max Clara[4]. Duidelijk zijn hier de grote kernen te zien die zich bijna altijd centraal in het cellichaam bevinden. Bijna het gehele cytoplasma is gevuld met granulaat. De metachromatische kleuring, hiervoor beschreven, heeft betrekking op dit granulaat. De rode purper kleuring is in kunststof coupes niet altijd goed zichtbaar. Vaak blijft het ook blauw of slechts vaag purper en de reden daarvoor is niet bekend (Red). In een coupe van Technovit 7100 wordt het granulaat wel purper maar in LR White blijft het vrij blauw. De morfologie van de mestcel is echter zo specifiek dat van een verkeerde determinatie geen sprake kan zijn.
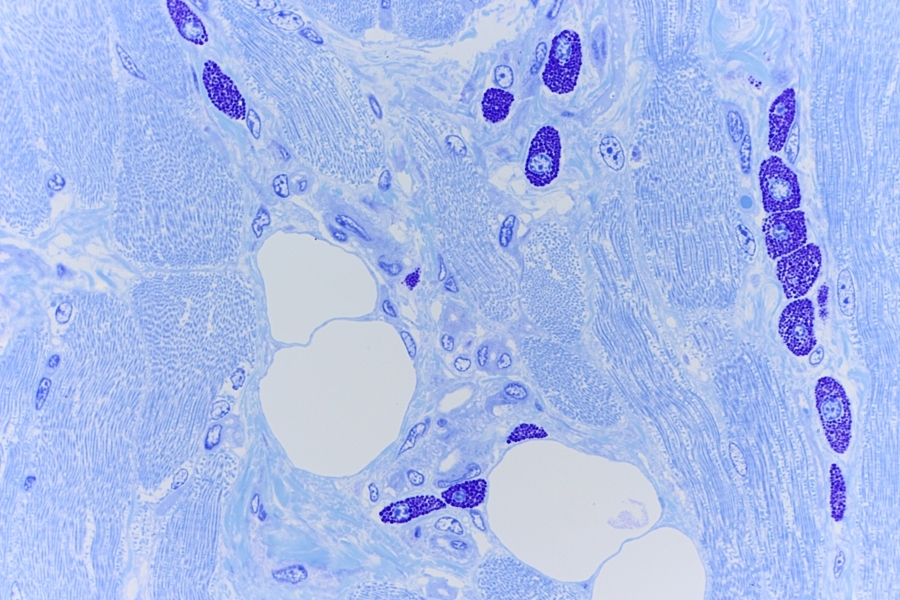
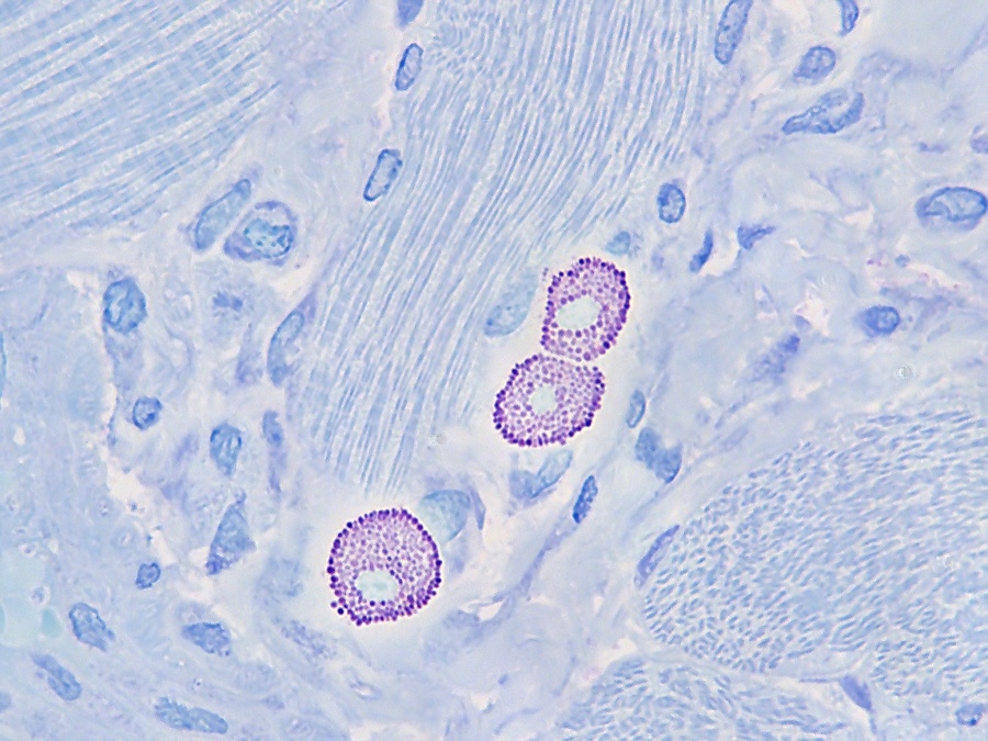
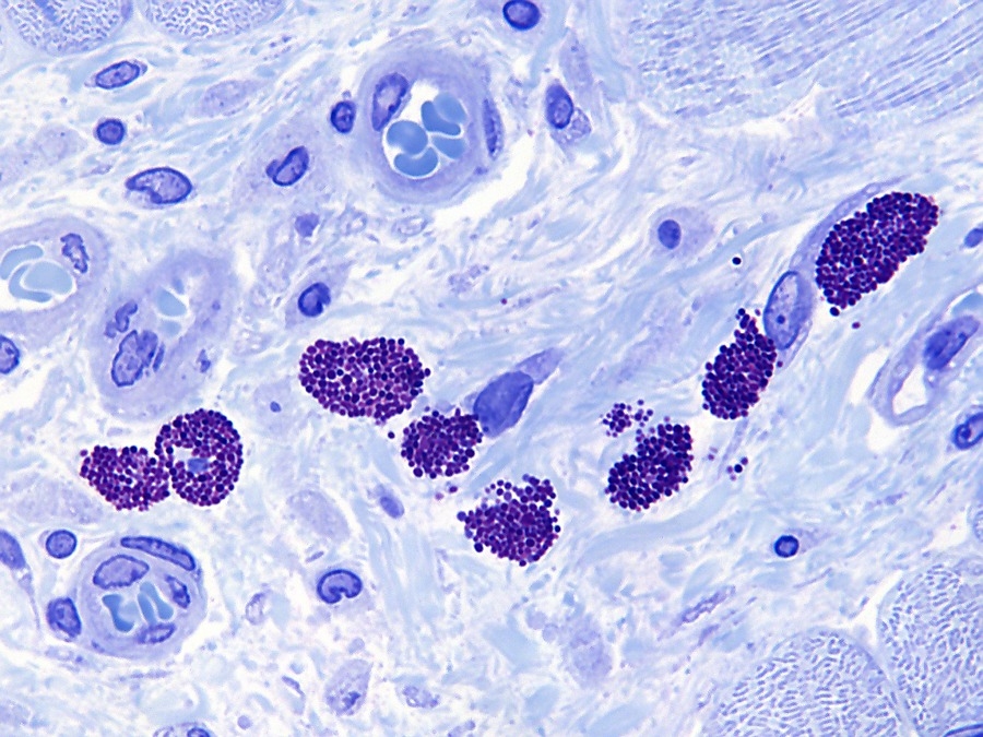
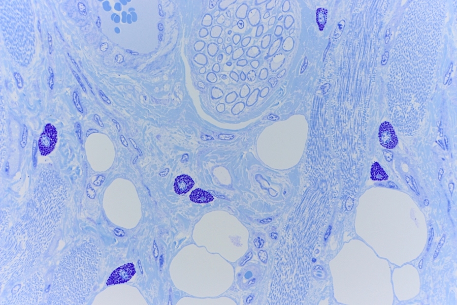
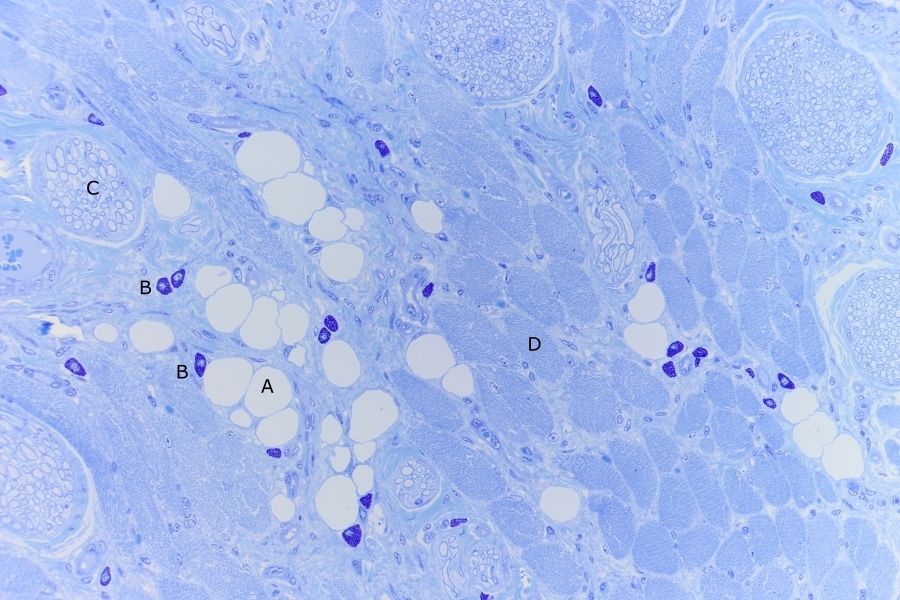
Pathologie van mestcellen in een muis tong
Bij mastocytose is sprake van een goedaardige ophoping van mestcellen, meestal in de huid[2].
Mastocytose is in de geneeskunde het aanwezig zijn van te veel mestcellen, meestal in de huid. Dit kan door de huid verspreid optreden, of als tumor door plaatselijke ophoping. Bij tumorvorming spreekt men van een mastocytoom[2].
Mastocytose is een zeldzame afwijking, die ook kan optreden in de wand van de darm en in andere weefsels zoals in de longen, lever, milt of in het beenmerg. Oorzaak van het ontstaan van de ziekte is onbekend[2].
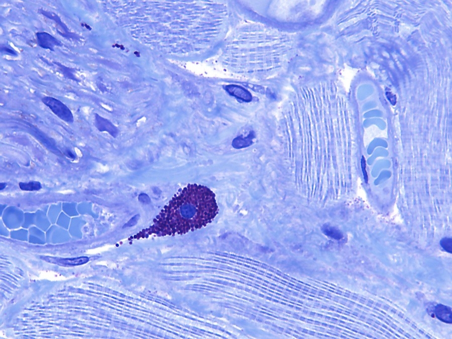
In de hier getoonde coupes van een muistong zijn geen mestcel ophopingen te zien maar wel zijn de mestcellen in grote hoeveelheden aanwezig. In bijvoorbeeld menselijk weefsel komen veel minder mestcellen voor[Red].
In ‘A practical guide to the histology of the mouse’ is te lezen dat bij knaagdieren deze grote hoeveelheid volledig normaal is en dus geen
ziektebeeld is. Citaat: “Heavily granulated mast cells are commonly seen in normal rodent tongues and can be demonstrated with toluidine blue staining.”[5]
Mastocytose is in de geneeskunde het aanwezig zijn van te veel mestcellen, meestal in de huid. Dit kan door de huid verspreid optreden, of als tumor door plaatselijke ophoping. Bij tumorvorming spreekt men van een mastocytoom[2].
Mastocytose is een zeldzame afwijking, die ook kan optreden in de wand van de darm en in andere weefsels zoals in de longen, lever, milt of in het beenmerg. Oorzaak van het ontstaan van de ziekte is onbekend[2].
In de hier getoonde coupes van een muistong zijn geen mestcel ophopingen te zien maar wel zijn de mestcellen in grote hoeveelheden aanwezig. In bijvoorbeeld menselijk weefsel komen veel minder mestcellen voor[Red].
In ‘A practical guide to the histology of the mouse’ is te lezen dat bij knaagdieren deze grote hoeveelheid volledig normaal is en dus geen
ziektebeeld is. Citaat: “Heavily granulated mast cells are commonly seen in normal rodent tongues and can be demonstrated with toluidine blue staining.”[5]
Bronvermelding:
[1] Junqueira L.C. en Carneiro J. (2004, tiende druk), Functionele histologie, Maarssen. Uitgeverij Elsevier. Hoofdstuk 5, 'Bindweefsel' blz 126 t/m 128.
[2] Wikipedia, de vrije encyclopedie, https://nl.wikipedia.org/wiki/Hoofdpagina[3] Romeis, Dr. Habil. Maria Mulisch und Prof. Dr. Peter Böck, Spektrum Akademischer Verlag Heidelberg 2010, Mikroskopische Technik (2010, achttiende druk), Hoofdstuk 3, pag. 185, 'Farbstoffe', par. 3.2.6, Färbevokabular, ISBN 3-541-11227-1
[4] Prof. Dr. med. Max Clara (1974), Atlas der normalen mikroskopischen Anatomie des Menschen, Uitgeverij Urban&Schwarzenberg, Hoofdstuk 'Sanguis', pag. 272, 'Drei Mastzellen im lockeren faserigen Bindegewebe aus der Haut'.
[5] Cheryl L. Scudamore, A practical guide to the histology of the mouse, ISBN: 978-1-119-94120-0, Pag 45, 3.2.4 Antomy and histology of tongue.