Trofoblast reuscellen in de placenta van een
muisembryo.
Doel van het preparaat: Een placenta van een muis
inbedden in Technovit 7100 en de trofoblast reuscellen zichtbaar maken.
Placenta[1]
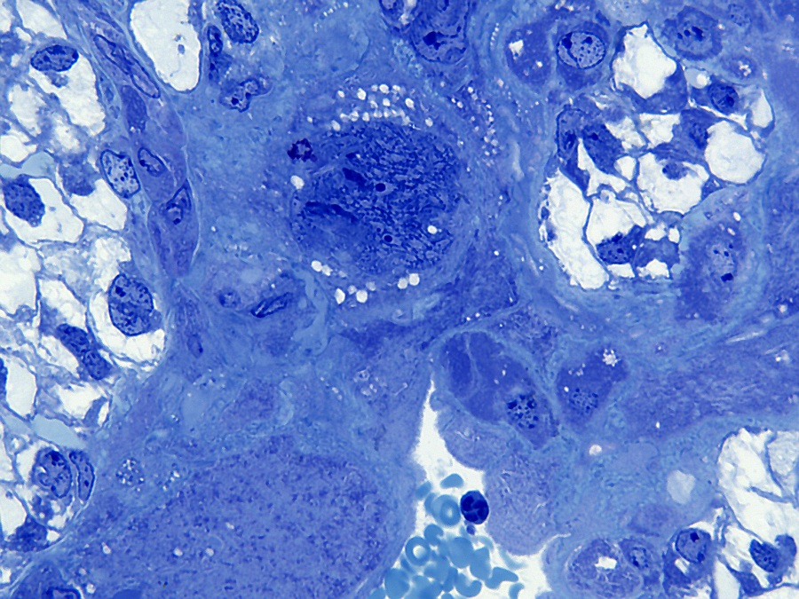
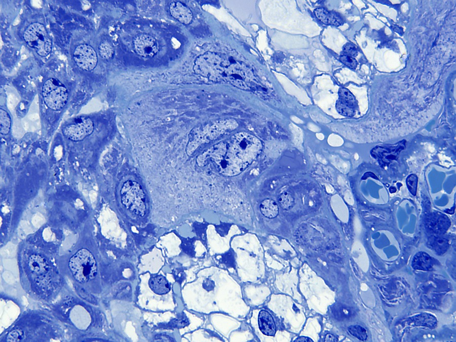
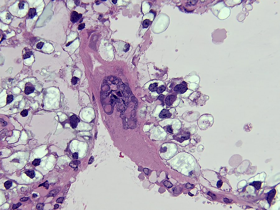
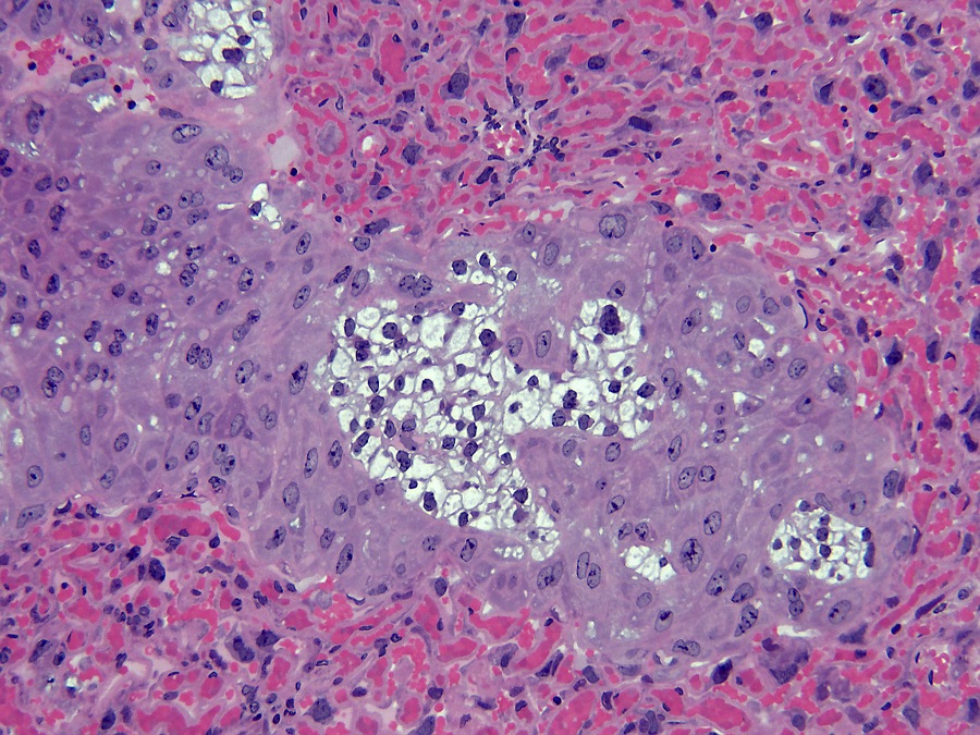
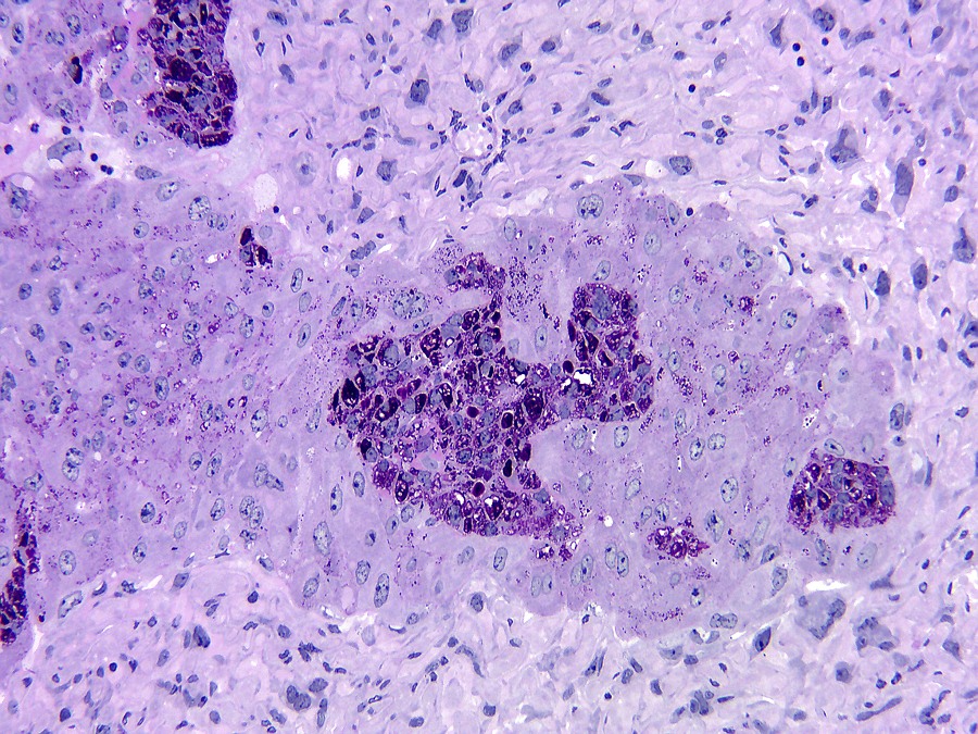
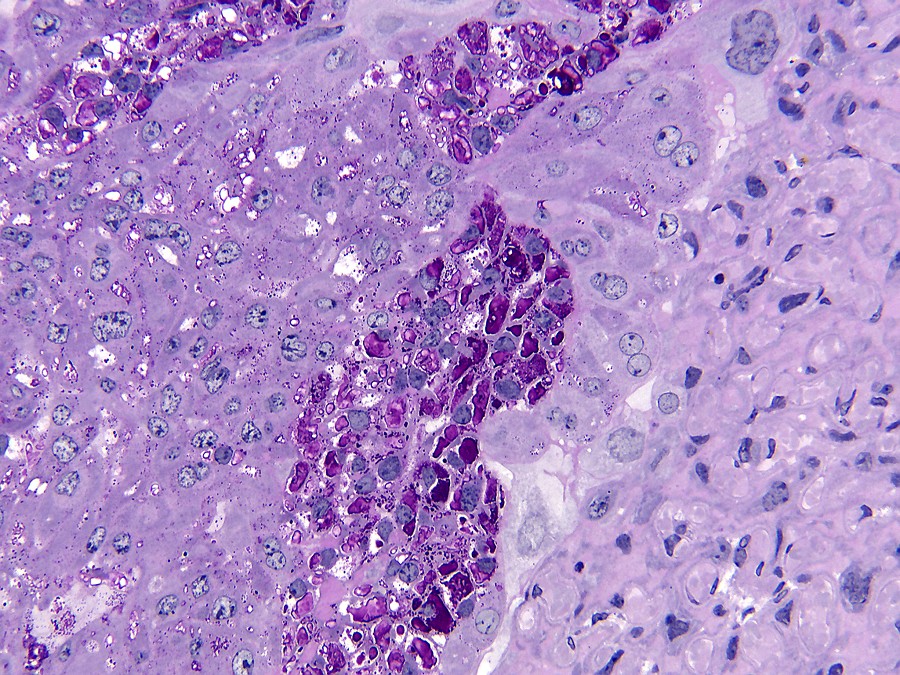
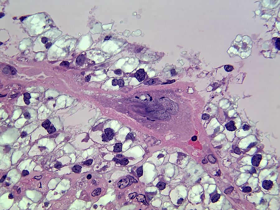
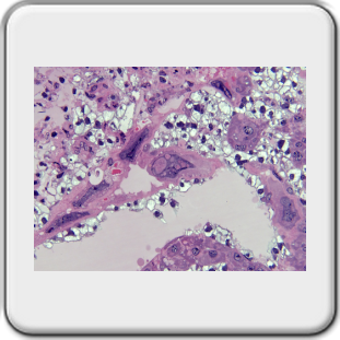
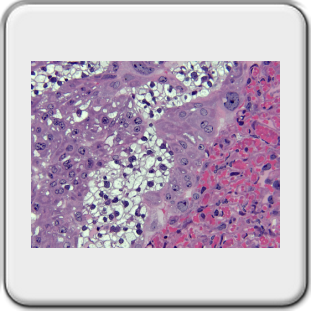
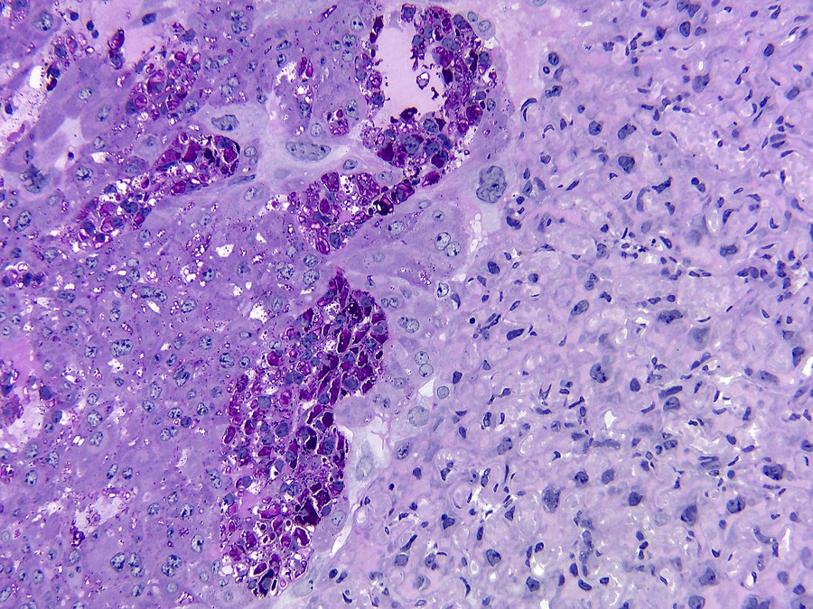
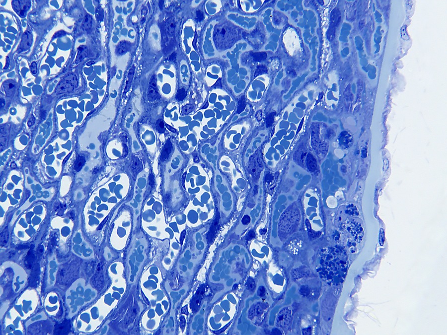
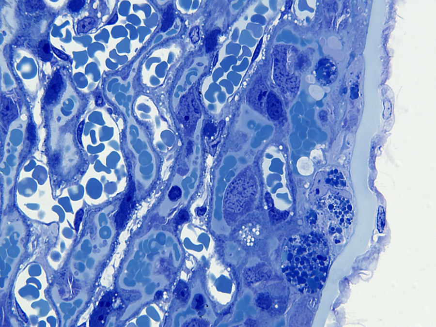
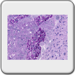
De muis heeft een hemochoriale placenta waarbij maternaal bloed in contact staat met foetaal chorion via een labyrintische laag (mensen hebben een vergelijkbaar type placentatie). De placenta bestaat uit maternale en embryonale lagen. De van het moederdier afkomstige laag is de decidua, die zich ontwikkelt uit het endometrium. De decidua bestaat uit twee delen: de decidua basalis en de decidua capsularis. De basalis heeft een rijk vasculair netwerk en bestaat uit losjes aanhangende onregelmatige grote vacuolate cellen met verschillend gevormde kernen van verschillende grootte.
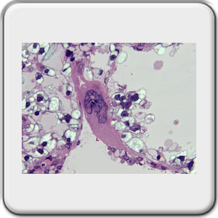
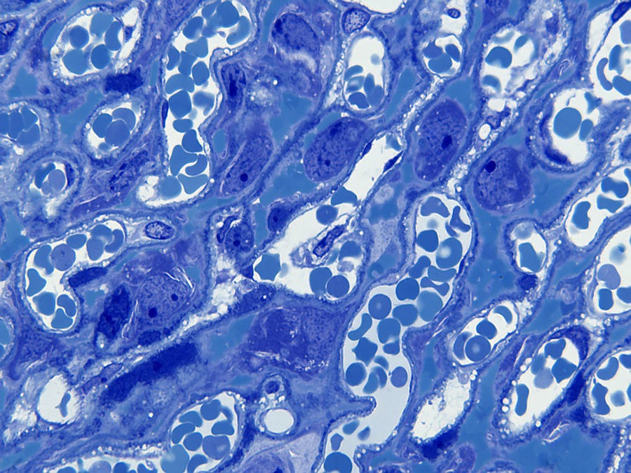
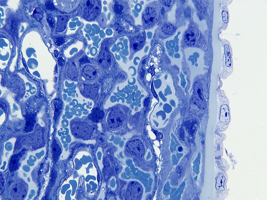
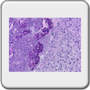
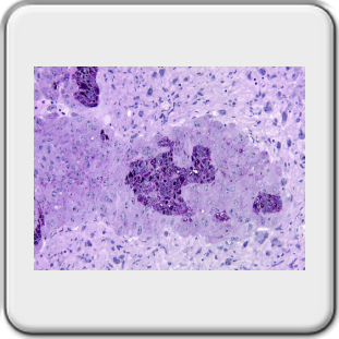
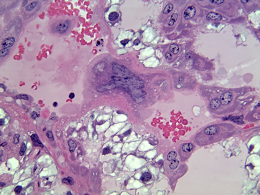
De decidua wordt van de embryonale labyrintische zone gescheiden door de junctionele zone. De junctionele zone bevat maternale bloedvaten (veneuze drainage), trofoblastreuscellen en spongiotrofoblastcellen. Trofoblastcellen zijn over het algemeen erg groot met bizar gevormde of meervoudige kernen. Reusceltrofoblasten zijn, zoals hun naam al zegt, erg groot - tot 100 µm in diameter en bevinden zich het dichtst bij de decidua. Spongiotrofoblasten zijn fagocytisch[6] en kunnen gefagocytiseerde erytrocyten bevatten en bevinden zich dichter bij de labyrintische zone. De labyrintische zone bestaat uit nauw tegenover elkaar liggende foetale en maternale bloedkanalen. De foetale bloedkanalen zijn bekleed met dunne endotheelcellen en bevatten grote onrijpe gekerfde rode bloedcellen, terwijl de maternale bloedkanalen bekleed zijn met grote labyrintische trofoblastcellen.
De muis heeft een hemochoriale placenta waarbij maternaal bloed in contact staat met foetaal chorion via een labyrintische laag (mensen hebben een vergelijkbaar type placentatie). De placenta bestaat uit maternale en embryonale lagen. De van het moederdier afkomstige laag is de decidua, die zich ontwikkelt uit het endometrium. De decidua bestaat uit twee delen: de decidua basalis en de decidua capsularis. De basalis heeft een rijk vasculair netwerk en bestaat uit losjes aanhangende onregelmatige grote vacuolate cellen met verschillend gevormde kernen van verschillende grootte.

Reusceltrofoblastcellen[3] zijn betrokken bij de modulatie van de maternale vasculatuur van de decidua en ze produceren verschillende placenta-specifieke hormonen die lijken op het hypofysehormoon prolactine[6]. Dit zijn onder andere Pl-1, Pl-2 (placentalactogeen) en proliferine, die uitsluitend door reuscellen worden uitgescheiden. Pl-1 en Pl-2 moduleren de activiteit van de eierstokken door de productie van luteaal progesteron te stimuleren, wat essentieel is voor het behoud van de zwangerschap. Bovendien zijn Pl-1 en Pl-2 betrokken bij de controle van de borstklierontwikkeling.
[2] Stefanie L Bronson & Tracy L Bale, 07 August 2015, ‘The Placenta as a Mediator of Stress Effects on Neurodevelopmental Reprogramming.’, Fig. 1.
[3] Mark Kibschull, January 2003, ‘Trophoblast-Stammzellen als Modell zur Analyse der Conexin vermittelten Signalwege in der Plazentaentwicklung der Maus‘, Pag 2.
Materials and methods
Een muis werd met ether geëuthanaseerd. Embryo’s werden uitgenomen op 15,5 dpc (Theiler stage 24)[4] en gefixeerd in een mengsel van formaldehyde 2%/glutaraldehyde 2,5%/fosfaatbuffer Sorensen Ph 7,17.
Na dehydratie tot aan ethanol 100% werd ingebed in Technovit 7100 van de firma Kulzer[5]. Coupes werden gesneden op een LKB 2218 Historange microtoom met een hardstalen mes in ‘D’ vorm.
Opnamen gemaakt op een Leitz Orthoplan met Moticam 2300 camera.
De zoombare opname bestaat uit 88 opnamen met een Leitz PL 16x fluotar objectief.
Een muis werd met ether geëuthanaseerd. Embryo’s werden uitgenomen op 15,5 dpc (Theiler stage 24)[4] en gefixeerd in een mengsel van formaldehyde 2%/glutaraldehyde 2,5%/fosfaatbuffer Sorensen Ph 7,17.
Na dehydratie tot aan ethanol 100% werd ingebed in Technovit 7100 van de firma Kulzer[5]. Coupes werden gesneden op een LKB 2218 Historange microtoom met een hardstalen mes in ‘D’ vorm.
Opnamen gemaakt op een Leitz Orthoplan met Moticam 2300 camera.
De zoombare opname bestaat uit 88 opnamen met een Leitz PL 16x fluotar objectief.
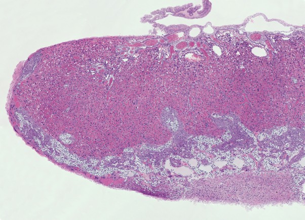
Overzicht opname placenta met zoombaar beeld.
Onderstaande opname geeft een indruk van de placenta. In het beeld hiernaast kan tot op celniveau worden ingezoomed. Ook de diverse lagen zijn te bekijken.
Onderstaande opname geeft een indruk van de placenta. In het beeld hiernaast kan tot op celniveau worden ingezoomed. Ook de diverse lagen zijn te bekijken.

Bronvermelding:
[1] Cheryl L. Scudamore, A practical guide to the histology of the mouse, ISBN: 978-1-119-94120-0, Pag 96, 6.2.7 ‘Placenta’.
[2] Stefanie L Bronson & Tracy L Bale, 07 August 2015, ‘The Placenta as a Mediator of Stress Effects on Neurodevelopmental Reprogramming.’, Fig. 1.[3] Mark Kibschull, January 2003, ‘Trophoblast-Stammzellen als Modell zur Analyse der Conexin vermittelten Signalwege in der Plazentaentwicklung der Maus‘, Pag 2.
[4] Mouse foetus atlas: https://www.emouseatlas.org/emap/eHistology/kaufman/index.php?plate=38&image=38bb
[5] Technovit 7100 van de firma Kulzer kan worden besteld bij Morphisto in Duitsland. https://www.morphisto.de/en/products/technovitr-plastics/
[6] Wikipedia, https://nl.wikipedia.org/wiki/Hoofdpagina
