Mid-sagittale coupe van een muis
Doel van het preparaat,
het maken van een sagittale coupe van een complete muis zodat de ligging van de diverse organen ten opzichte van elkaar in het lichaam zichtbaar worden.
het maken van een sagittale coupe van een complete muis zodat de ligging van de diverse organen ten opzichte van elkaar in het lichaam zichtbaar worden.
Materialen en methoden,
Muizen zijn gekweekt en zes dagen na de geboorte uit het nest verwijderd. De anesthesie is uitgevoerd met Ether. Extremiteiten zijn met een chirurgische schaar verwijderd en aan beide zijden van de romp is de huid met twee incisies geopend om het binnendringen van de diverse vloeistoffen te vereenvoudigen. Vervolgens is het weefsel gefixeerd (immersie-fixering) met het Bouin fixatief[1] in de volgende verhoudingen:
- 15ml picrinezuur 1,2%;
- 5ml formaline 40%;
- 1ml ijsazijn 98%.

Het weefsel heeft enkele weken in het fixatief gelegen alvorens begonnen is met dehydrateren. Bij het fixatief volgens Bouin heeft dit geen schadelijke uitwerking op het weefsel [4] wat wel het geval is bij vele andere fixatieven zoals: Susa, Carnoy, Zenker et cetera. Nadat het weefsel zorgvuldig is gefixeerd is begonnen met dehydratie. Na Bouin fixatie is het gebruikelijk om zonder spoelen in water rechtstreeks te beginnen in Ethanol 70%. Ervaring heeft uitgewezen dat het bindweefsel zo minder zwelt dan wanneer eerst in water wordt uitgespoeld.
De gebruikte ethanolreeks is: 70%, 85%, 96% en 100% isopropanol (2-propanol). De isopropanol kan uiteraard vervangen worden door ethanol 100%. Meestal is kostenoverweging een goede reden om voor isopropanol te kiezen en bewezen is dat isopropanol voor een aansluitende paraffine inbedding uitstekend geschikt is. Wel dient men rekening te houden dat isopropanol langzamer indringt dan ethanol. De gekozen tijden in de ethanolreeks is 24 uur. De isopropanolstap echter 48 uur en halverwege is de isopropanol ververst om zeker te zijn dat alle water uit het weefsel verdreven is. Na de isopropanol 100% verblijft het weefsel voor 48 uur in xylol. Daarna 72 uur in een verwarmd mengsel (1:1) van xylol en paraplast. Hier wordt de xylol langzaam verdreven door paraffine. Na deze stap volgen drie stappen pure paraplast. De reden hiervoor is dat zeker gesteld moet zijn dat alle xylol wordt vervangen door paraplast. Een paraffineblok dat niet volledig vrij is van xylol zal op het microtoom veel problemen veroorzaken en geen goede coupes opleveren. Belangrijk is dat de temperatuur van vloeibare paraplast niet boven de 62°C uitkomt omdat anders de toevoegingen, die in paraplast zijn verwerkt ter verbetering van de indringbaar- en snijdbaarheid, beginnen te ontleden. Het weefsel moet vrij lang in de vloeibare paraffine verblijven. Gekozen is voor 72 uur in elk bad. Nadat het weefsel is verwerkt tot paraffineblokken zijn coupes van 4μm gesneden op een A&O 820 rotatiemicrotoom voorzien van een Leica hoogprofiel 818 wegwerpmes. Op warm water gestrekte coupes werden gemonteerd op objectglaasjes van de firma Menzel met een standaard afmeting van 26 x 76 mm (ISO Norm 8037/I). Nadat de paraffine in een xylolbad werd verwijderd en door een dalende ethanolreeks een waterige toestand werd bereikt zijn diverse kleuringen uitgevoerd. Na kleuring zijn de coupes duurzaam ingedekt met Euparal. Na droging zijn opnamen gemaakt op een Leitz Orthoplan microscoop voorzien van een Moticam 2300 digitale camera.
Kleuringen,
AZAN volgens Heidenhain[2],
Azokarmijn op kamertemperatuur | 1,5uur |
Spoelen AD | 30sec |
Aniline ethanol | 3min |
IJsazijn ethanol | 1min |
Fosforwolfraamzuur 5% | 1,5uur |
Spoelen AD | |
Anilinebl-Oranje G-IJsazijn, 1dr aniline + 2dr AD | 2uur |
Spoelen AD | |
Differentiëren in Ethanol 95% | ≈ 1min |
Isopropanol 100% I en II | 2 x 4min |
Xylol 2x | 2 x 4min |
Euparal |
PTAH (Fosforwolfraam-haematoxyline) volgens Mallory[3],
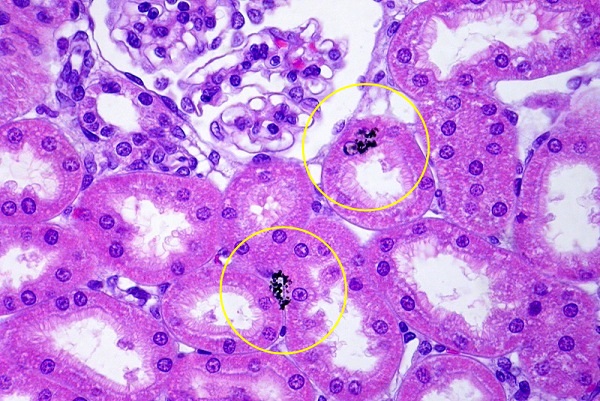
Volgens Romeis 'Mikroskopische Technik' 17de druk, pag 507, par: 1.3.4.4 heeft deze kleuring voordeel van een fixatie met Zenker of een nabehandeling hiervan. Nadeel van deze techniek is dat er kwikzilver ll chloride kristallen in het preparaat ontstaan die dienen te worden verwijderd. Dit gaat echter eenvoudig met Lugol en natriumthiosulfaat.
Lugol | 2min |
Spoelen AD | |
Natrium thiosulfaat 5% | 3min |
Spoelen AD | |
Kaliumpermanganaat | 8min |
Spoelen AD | |
Oxaalzuur 5% | 8min |
Spoelen in water, daarna AD | |
Fosforwolfraam Haematoxyline | 14uur |
Ethanol 96% 2x | 2 x 1min |
Isopropanol 100% I en II | 2 x 4min |
Xylol 2x | 2 x 4min |
Euparal |

In deze coupe zijn twee zwarte kwikzilver-kristallen zichtbaar (gele circels).
Preparaten,
Bronvermelding:
[1] Prof. Dr. Peter Böck (2010, 18., Auflage), Romeis Mikroskopische Technik, ISBN 13: 9783827416766, München. Verleger: Spektrum Akademischer verlag. Hoofdstuk 2, "Präparationsmethoden", Tabel 2.10, pagina 90
[2] Prof. Dr. Peter Böck (2010, 18., Auflage), Romeis Mikroskopische Technik, ISBN 13: 9783827416766, München. Verleger: Spektrum Akademischer verlag. Hoofdstuk 3, "Färbungen", A3.32, pagina 217
[3] Prof. Dr. Peter Böck (1989, 17., Auflage), Romeis Mikroskopische Technik, ISBN 13: 3-541-11227-1, München. Verleger: Urban und Schwarzenberg. Hoofdstuk 25, "Binde- und Stützgewebe", Par.: 1.3.4.4, pagina 507
[4] Prof. Dr. Peter Böck (1989, 17., Auflage), Romeis Mikroskopische Technik, ISBN 13: 3-541-11227-1, München. Verleger: Urban und Schwarzenberg. Hoofdstuk 4, "Fixierung Histologische Präparate", Par.: 6.2.5.1, pagina 97

