Update: 20-apr-2024
Welkom op de website.
De wereld onder de miroscoop laat zien hoe dierlijk weefsel geprepareerd wordt tot een microscopisch preparaat. De histologie omvat het uitnemen van weefsel, fixeren, inbedden in paraffine of kunststof. Dan volgt het snijden tot coupes op een microtoom en kleuren van het preparaat. Coupes zijn hele dunne plakjes weefsel. Daarna wordt onder een microscoop het preparaat bekeken, gefotografeerd en de verschillende cellen benoemd met bijbehorende theoretische onderbouwing. Ook is er aandacht voor histologische materialen, microscopen, objectieven en alles wat met een microscoop te maken heeft. Deze kleine wereld wordt bekeken met een Leitz Orthoplan doorvallichtmicroscoop voorzien van hoogwaardige Fluotar- en Apo objectieven. Alle getoonde preparaten zijn zelf vervaardigd en zeer divers. Enkele voorbeelden van weefsels en cellen zijn: purkinjecellen in de kleine hersenen, bacteriën, celdeling (mitose en meiose), bloedcellen, sperma, neuronen, slijmbekercellen, mestcellen, nier, pancreas met eilandjes van Langerhans et cetera.
Enkele voorbeelden van preparaatafbeeldingen.
Enkele voorbeelden van preparaten:
(de pagina 'Preparaten' wordt regelmatig uitgebreid met nieuw materiaal)
(de pagina 'Preparaten' wordt regelmatig uitgebreid met nieuw materiaal)
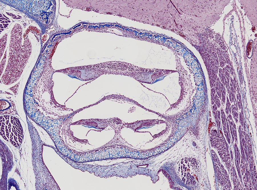
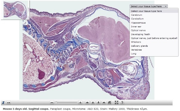
Saggitale coupe van een muis, kijk in de preparaatbeschrijving.
Omdat deze coupe veel verschillende soorten weefsels in verschillende verbanden laat zien is gekozen voor een zoombaar beeld. De coupe is gefotografeerd met
een Moticam 2300 camera en bestaat hier uit 281 opnamen. Met photoshop zijn de beelden aan elkaar gestitched en met het programma 'Zoomify' is een zoombaar beeld verkregen. In de legenda kunnen verschillende celtypen worden aangeklikt.
Nissle substantie in motorische neuronen, cresylvioletacetaat kleuring. Meer informatie is te vinden in de preparaatbeschrijving.
Preparaatgegevens,
De hersenstam en kleine hersenen zijn afkomstig van een Cavia of Guinees biggetje en is gefixeerd in formaldehyde 4%.
Het blok is ingegoten in paraplast plus en vervolgens gesneden op een A&O 820 rotatiemicrotoom. Coupedikte is 4µm.
Als indekhars is gekozen voor Depex van de firma Serva en is onder andere aldaar te koop: https://www.serva.de/enDE/ProductDet......DePeX_0_0.html
Klik op de afbeelding hiernaast om in te kunnen zoomen!
Klik op de afbeelding hiernaast om in te kunnen zoomen!
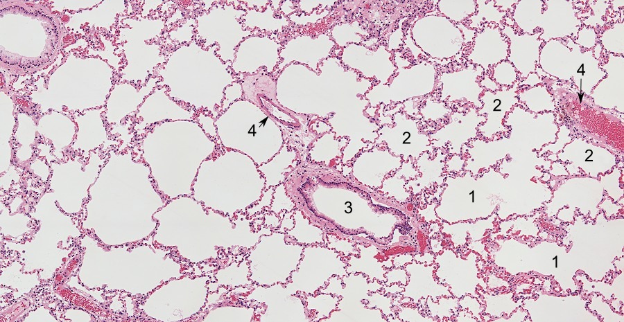
In de longen (pulmones), die zich in de pleuraholte bevinden, vindt de gaswisseling plaats tussen de ingeademde lucht en bloed. De ingeademde lucht komt via de bronchiën (luchtwegen) in de longen. De longen bestaan uit verschillende structuren, die door bindweefsel zijn verbonden en overtrokken worden door de pleura (longmembraan). De bronchiën vertakken zich bovenaan de longen naar links en rechts van de luchtpijp (trachea). In de long vertakt de bronchus zich in secundaire en tertiaire bronchiën en deze weer verder in bronchioli. De bronchioli vertakken zich verder in longblaasjes, de alveoli.
Kijk op de preparaatpagina voor meer theorie en fraaie afbeeldingen.
Snijden van Technovit 7100 op een LKB 2218 Historange microtoom,
Dit type microtoom met retractie is speciaal ontwikkeld voor het snijden van kunststoffen en werd geproduceerd door het bedrijf LKB bromma in Zweden. Het productiejaar van de Historange is 1982. Zie: http://www.lkbprod.com/
Op de download pagina kunnen twee documenten over de Historange worden gedownload. De 'user manual' en de 'part breakdown'.
Het microtoom wordt, door de auteur, alleen gebruikt voor kunststoffen en er wordt hoofdzakelijk Technovit 7100 mee gesneden.
Sagittale snede van een ongeboren muis 15,5dpc,
In de embryologie van muizen wordt 15,5dpc (15,5 dagen post coitum = 15,5 dagen na bevruchting) ook wel 'Theiler stage' 24 genoemd. Dit preparaat is gefixeerd met Bouin, in paraffine gegoten en 2 µm dik gesneden. De coupe is gekleurd met een Haematoxyline/eosine (HE kleuring). Klik op de afbeelding om de coupe te kunnen bekijken. Veel organen zijn al duidelijk zichtbaar zoals, hart, hersenen, longen en lever. Kijk op de preparaatpagina voor meer informatie.
In de embryologie van muizen wordt 15,5dpc (15,5 dagen post coitum = 15,5 dagen na bevruchting) ook wel 'Theiler stage' 24 genoemd. Dit preparaat is gefixeerd met Bouin, in paraffine gegoten en 2 µm dik gesneden. De coupe is gekleurd met een Haematoxyline/eosine (HE kleuring). Klik op de afbeelding om de coupe te kunnen bekijken. Veel organen zijn al duidelijk zichtbaar zoals, hart, hersenen, longen en lever. Kijk op de preparaatpagina voor meer informatie.
Epon epoxy snijden op een ultramicrotoom
Op deze Reichert-Jung Ultracut ultramicrotoom wordt een coupe uit Epon gesneden.
Kijk op de 'Microtomen' pagina om meer informatie over dit type microtoom te lezen.
Contact: microscoop@ronaldschulte.nl
Disclaimer: Alle getoonde opnamen van preparaten, apparatuur en video's op deze website zijn vervaardigd door de auteur en daarom niet vrij te gebruiken. U dient voor publicatie, in welke vorm dan ook, te allen tijde om toestemming te vragen.