Spermatogenesis in testis of a mouse - The world under the microscope

The world under the microscope
The world under the microscope
Go to content
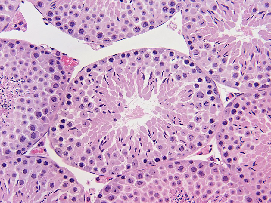
Spermatogenesis in mouse testis supplemented by DNA fluorescence staining with DAPI.


The purpose of this sample is to show as many details of spermatogenesis as possible and to make and fluorescent DNA staining using DAPI (4′,6-diamidino-2-phenylindole)[4].

The testis of a mouse was fixed with a 4% formaldehyde solution and embedded in Technovit 7100 after dehydration. Slices were cut on an LKB 2218 Historange rotary microtome. The cut thickness was 1µm.
Coupes were stretched on a slide glass in boiled AD water and then dried at 80° C. Then the slides were left in isopropanol 100% for 48 hours. This step was made to completely remove all contaminants from the Technovit from the slide.
In addition to the Technovit, a section was also embedded in LR-White and cut on a Reichert-Jung ultramicrotome. These sections were cut with a Diatome diamond knife and stretched on water.
The cut thickness here was 0.8µm.
After staining and covering, pictures are taken on the Leitz Orthoplan with a Moticam 2300 camera.
Image from www.Pathbase.net [1]




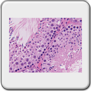
Spermatogenesis[2]
The cells of the spermatogenetic series form four to eight layers between the basal membrane and the lumen of the tubules seminiferi. In this sequence of development, referred to as a whole by the term spermatogenesis, the following stages can be distinguished:

1 the spermatocytogenesis, in which spermatogonia divide and continually produce new generations of spermatocytes;

2 meiosis, in which the primary spermatocyte undergoes two divisions, in which the number of chromosomes per cell, as well as the amount of DNA per cell are halved, producing spermatids;

3 spermiogenesis, in which the spermatids turn into spermatozoa or spermia through a differentiation process.
Image from Sobotta [3]




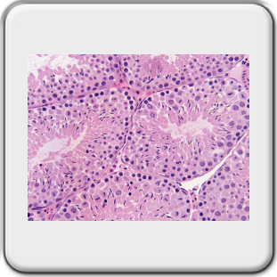
Cells of Sertoli[2]
The cells of Sertoli or feeder cells have an elongated pyramidal to trapezoidal shape and are located with their broad base against the basal membrane[4]; their apical end extends into the lumen[4] of the seminiferous tubule. Their cytoplasm is otherwise imperceptible light microscopically.
The cells of the spermatogenetic sequence are located in the intercellular space between the Sertoli cells, where they can penetrate deeply into the cytoplasm[4].

Functions of Sertoli cells[2].
In addition to maintaining the blood-testis barrier, Sertoli cells have the following functions.
1 Support, protection and nutrition of the developing sperm cells. The spermatogenetic cells are embedded in the cytoplasm of Sertoli cells.
2 Degradation of residual corpuscles. During spermiogenesis, cytoplasmic parts of differentiating spermatids are endocytosed (= taken up) by Sertoli cells and digested in their lysosomal apparatus.
3 Secretion. Sertoli cells secrete a fluid to the tubule lumen that plays a role in transporting the released spermatids.

Sertoli cells of humans and many animals do not multiply during the reproductive period. They are exceptionally resistant to all kinds of harmful influences such as infection, malnutrition, X-rays and survive such influences much better than the cells of the spermatogenetic series.
Image from Sobotta [3]







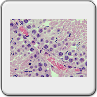
The interstitium between the tubules seminiferi[2].
The space between the tubules seminiferi is filled with loose connective tissue containing nerve tissue, blood and lymph vessels. The capillaries[4] in the testis are of the fenestrated (= small holes) type.
Within the connective tissue lie the interstitial cells or cells of Leydig, as well as fibroblasts[4], mast cells[4] and macrophages[4].



Interstitial cells of Leydig[2].
These are round to polygonal cells with an eosinophilic cytoplasm containing many small lipid[4]droplets. These cells have the typical characteristics of steroid-producing cells with a highly developed smooth ER and tubular cristae in the mitochondria.
The steroid hormone produced by these cells is testosterone, which is responsible for the development of male secondary sex characteristics, as well as necessary for spermatogenesis.



Timeline spermatogenesis[5],[6].
The entire differentiation process from spermatogonium to mature spermatid takes about 35 days in mice[5], and about 75 days in humans[6].

Preparation of DAPI and staining protocol.
The fluorescent dye DAPI (4′,6-diamidine-2-phenylindole)(CAS: 28718-90-3) specifically stains DNA.
Sigma-Aldrich's safety data sheet can be downloaded here.
Technovit 7100 stains surprisingly well with DAPI, LR-White does not stain. DAPI stains in very low concentrations.
Preparation of DAPI (4′,6-diamidino-2-phenylindole)
Dissolve 1 microgram of DAPI in 1 milliliter of AD
Divide 1 ml of DAPI into 20 Eppendorfer with 50 microliters each
Wrap Eppendorfer in aluminum foil (avoid light) and freeze.

Staining protocol of DAPI
1 Eppendorfer thawed at room temperature
Dissolve the 50 microliters of DAPI in 50 milliliters of Sorensen buffer of pH 7.4, i.e. slightly alkaline
Apply a few drops of staining fluid to the object glass
Stain for approx. 5 minutes
Brief rinsing with AD
Dry on heat plate and cover with Depex.


Cutting sections on a Diatome diamond blade
Here, sections of a LR-White block are cut on a Diatome diamond knife. The coupes are flowed directly from the blade into distilled water and may pre-stretch. After uptake with a glass ball, coupes are rotated in a drop of water on an object glass and are then allowed to further stretch and dry on a heat plate at 80°C.


Assessing tube structures in a microscopic coupe
When a tube is cut in a three-dimensional (3D) environment on a microtome, the result of the sectioning will almost never show nice round shapes, but all kinds of different shapes. The whole testis is a tangle of tubes so in the flat plane of a specimen (2D) many different shapes will be observable. See drawing for examples.


Stitch of many shots side by side
In this coupe, many shots (148 shots with a Leitz Plan Fluotar 16x Objective) were stitched together side by side, using 'zoomify' software. In this shot you can call up different parts and also zoom in. Click on the image to start 'Zoomify'.



.


Source reference:

[2] Junqueira L.C. en Carneiro J. (2004, tiende druk), Functionele histologie, Maarssen. Uitgeverij Elsevier. Hoofdstuk 23, pag. 573, 577, 579 en 580 'Het mannelijk genitaal stelsel'.

[3] Prof. Dr. med. Dr. rer. nat. Ulrich Welsch, Elsevier GmBH, Urban&Fischer Verlag München, Sobotta Welsch Lehrbuch Histologie (2010, derde druk), Hoofdstuk 13, pag. 405, 408 en 413 'Geschlechtsorgane', ISBN 978-3-437-44431-9.

[4] Wikipedia, the free encyclopedia,  https://en.wikipedia.org/wiki/Main_Page

[5] Cheryl L. Scudamore, A practical guide to the histology of the mouse, ISBN: 978-1-119-94120-0, Pag 100, 6.3.2 Antomy and histology of Reproductive system.

[6] Prof. Dr. med. Dr. rer. nat. Ulrich Welsch, Elsevier GmBH, Urban&Fischer Verlag München, Sobotta Welsch Lehrbuch Histologie (2010, derde druk), Hoofdstuk 13, pag. 409 'Männliche Geschlechtsorgane', ISBN 978-3-437-44431-9.

[7] Prof. Dr. med. Max Clara (1974), Atlas der normalen mikroskopischen Anatomie des Menschen, Uitgeverij Urban&Schwarzenberg. pag. 191, 'Organa genitalia masculina'.
© R. Schulte
Back to content