Gallery 2 - The world under the microscope

The world under the microscope
The world under the microscope
Go to content
Disclaimer: All images of slides, equipment and videos shown on this website have been produced by the author and are therefore not for free use. You must ask permission for publication in any form at all times.




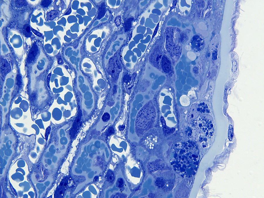
Saggital coupe of a mouse Mallory 1900 stain. More information can be found in the sample description.



Spermatogenesis in mouse testis supplemented by DNA fluorescence staining with DAPI.
More information can be found in the specimen description.


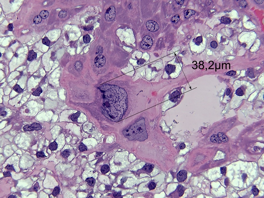
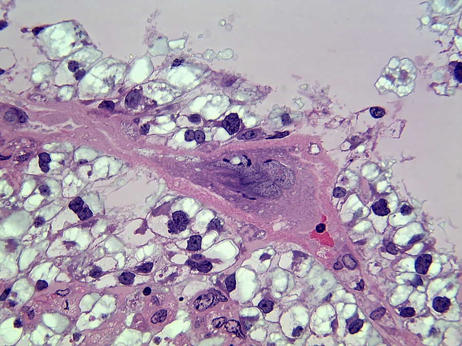
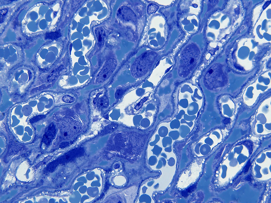
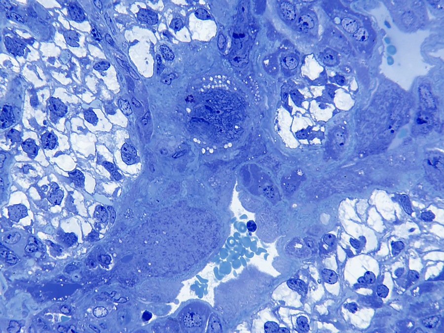
Trophoblast giant cells in the placenta of a mouse embryo. More information can be found in the specimen description.
© R. Schulte
Back to content