Bone forming in various histological stains - The world under the microscope

The world under the microscope
The world under the microscope
Go to content
Purpose,

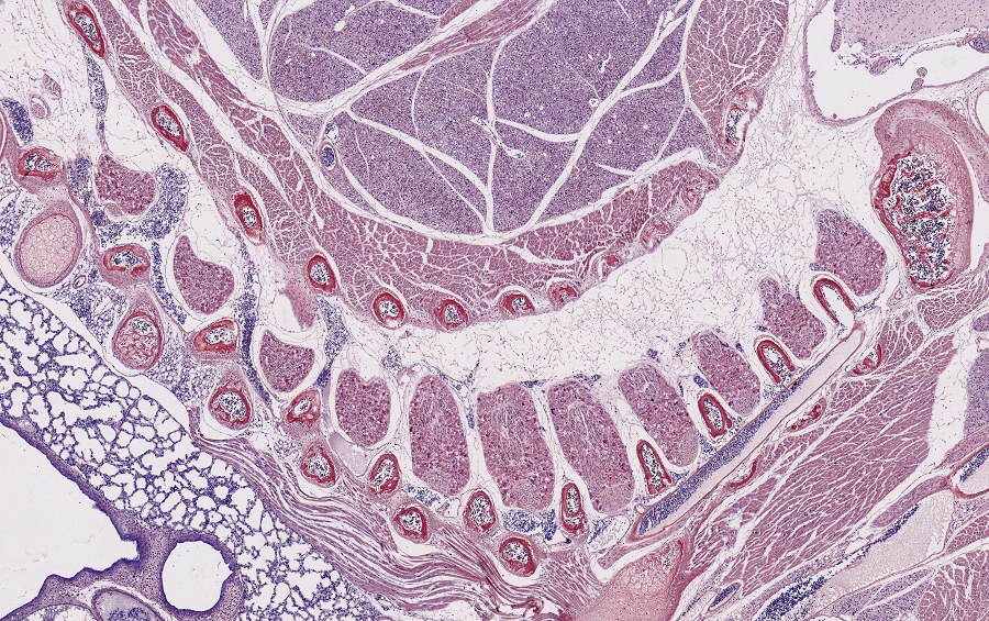
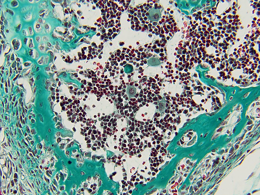
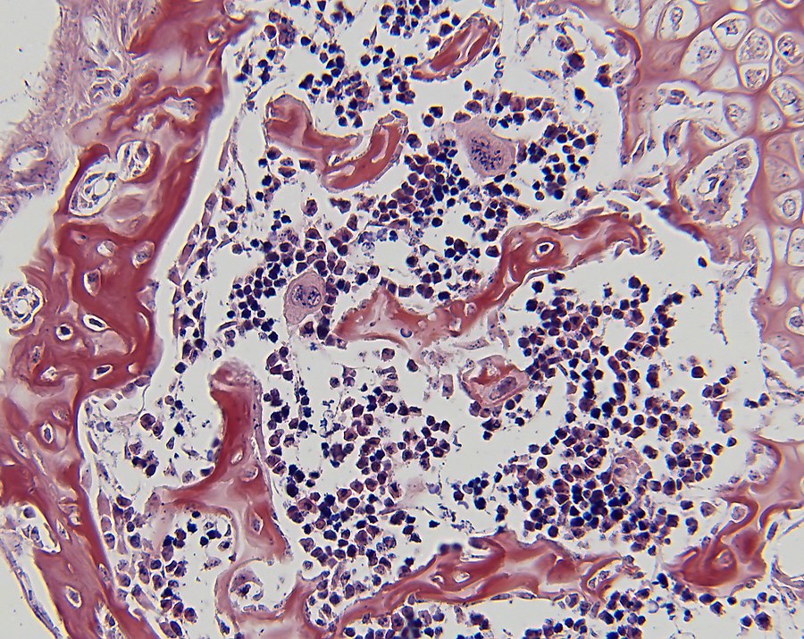
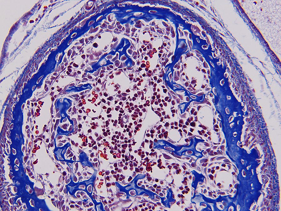
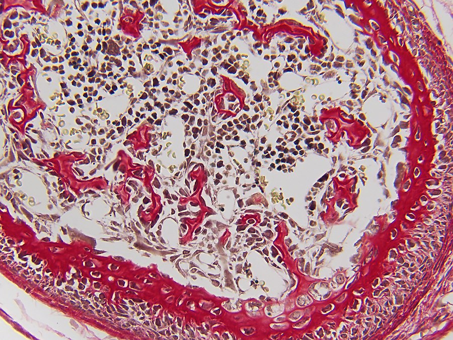
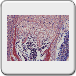
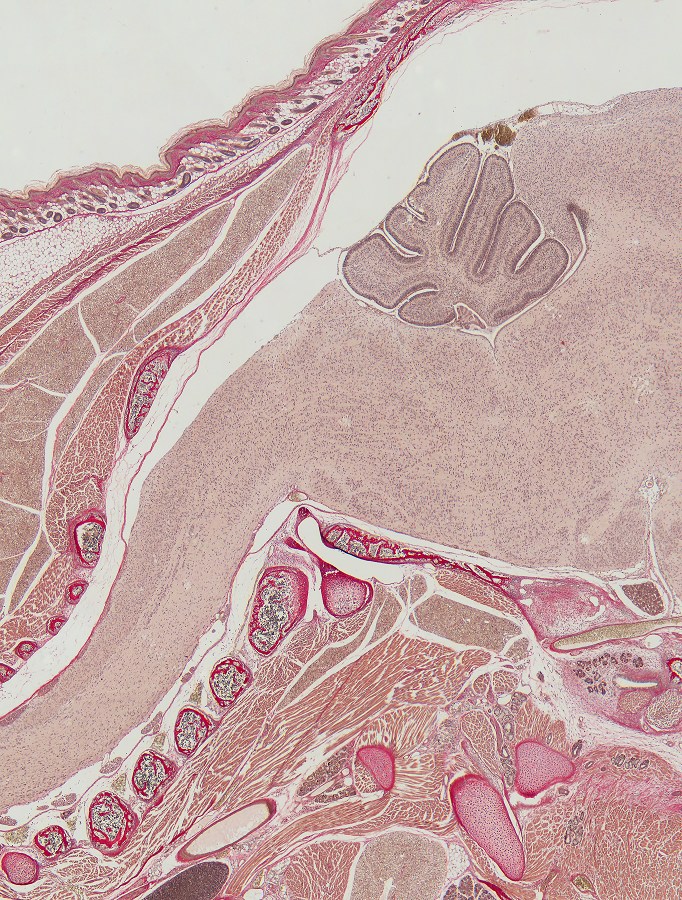
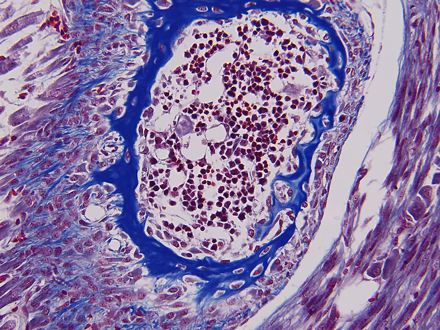
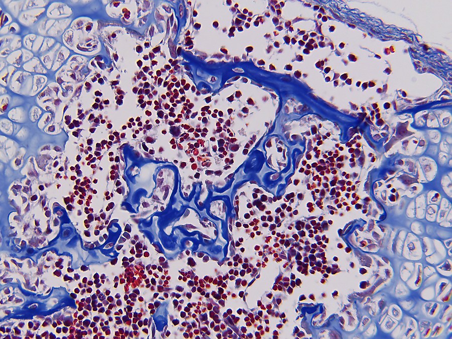
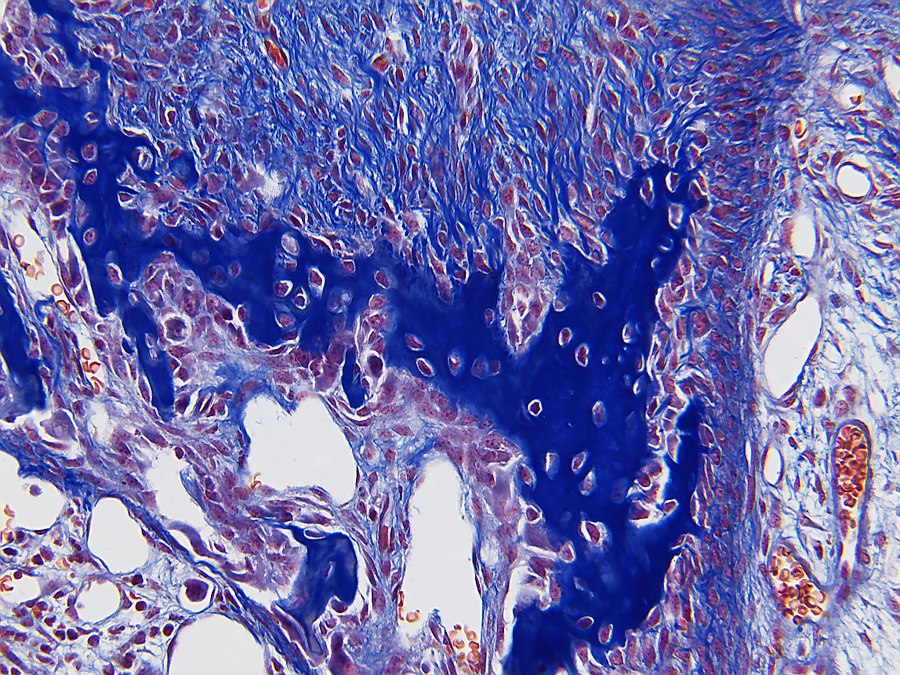
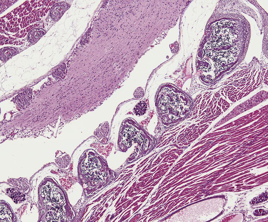
Bone formation or ossification[2] visualized by various histological stains.


Introduction[1]

Bone can form in two ways:
1. Endesal, in which bone tissue is formed directly from connective tissue; in this case, bone deposition occurs in the form of a band (desmos).
2. Enchondral, in which bone tissue is formed indirectly as cartilage[2] (chondros) is replaced by bone.

In both cases, primary (braided or plexiform) bone is first formed, which is soon replaced by secondary (lamellar) bone, which may have a compact or spongy appearance macroscopically. During bone growth, areas of primary bone, bone breakdown, and secondary bone continually occur side by side. This coexistence of breakdown and creation (remodeling) continues in the adult body, although at a much slower rate.

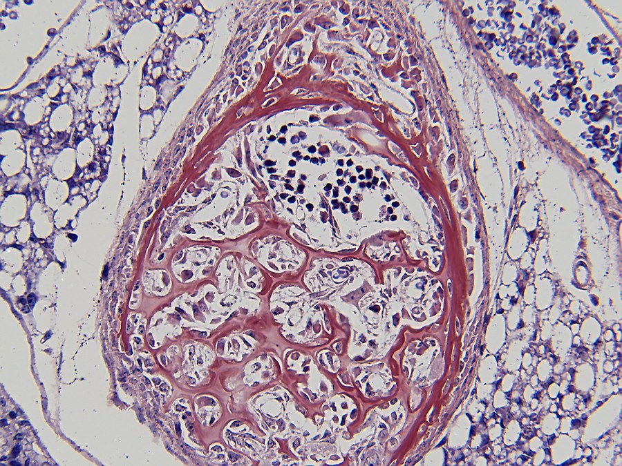
Bone is composed of cells and intercellular material that is calcified, the bone or bone matrix. Three types of cells can be distinguished:

1. Osteoblasts (bone forming cells), which produce the organic components of the bone matrix. Osteoblasts arise from osteoprogenitor cells, which are found in endosteum[2] and periosteum[2]. Osteoblasts synthesize the organic components of the bone matrix and thus produce collagen type I, proteoglycans[2] and glycoproteins[2]. Osteoblasts are located in contiguous rows, the osteoblast hemisphere, against the surface of the bone;
2. Osteocytes (mature bone cells) formed by maturation of osteoblasts lie in cavities (lacunae) of the bone matrix. From these cavities, canaliculi run through the bone in different directions, containing the outgrowths of osteocytes. They make contact with each other through gap junctions[2], allowing the exchange of ions and small molecules;
3. Osteoclasts (bone-degrading cells); these are large multinucleated (up to fifty nuclei) cells that can break down bone. Osteoclasts are freely motile cells and lie as elongated cells against the bone margin, sometimes in a hollow created by them eating away matrix: the lacuna of Howship.
Source reference three photos above see [10]

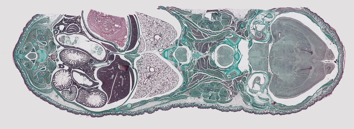
Materials and Methods

To observe the staining of bone forming tissue and the differences in staining, it was chosen to cut sections of similar tissue which was fixed in the same way. For this purpose, five-day-old mice were fixed in Bouin liquid. To allow the fixative to penetrate the tissue more easily, the extremities were removed and small incisions were made in the skin. Tissue was left in Bouin for approximately two months after which dehydration was started in ethanol 70%. The usual rinsing out of the fixative in water did not take place to prevent tissue from swelling too much[3]. Further ethanol steps were 85%, 95% and 100% with a duration of 48 hours per step. Via xylene, the switch to paraplast plus was then made. To ensure that all xylene was replaced with paraplast, three liquid paraplast baths were used.
Tissue was then cut on an A&O 820 rotary microtome with Leica 818 high profile microtome blades. After drying, the paraplast was removed via 2 xylene baths and the sections hydrated in an ethanol series of 100%, 95%, 85%, 70% and 50%. Staining which was performed were:
- Haematoxylin/Eosin[8];
- PTAH (Phosphorus tungsten haematoxylin)[7];
- Van Gieson[9];
- Trichrom according to Mallory from 1900[5];
- AZAN according to Heidenhain[6];
- According to Masson-Goldner[4].
Dyeing protocols are mentioned below and are taken from 'Romeis Mikroskopische Technik' see Source Notes. The preparation of the dyes was carried out as described in Romeis but the staining times were adjusted empirically[2] for best results. Also dehydration after staining was often performed with isopropanol instead of ethanol 100% due to the high cost of absolute alcohol. After drying of the resin, images of the sections were taken with a Moticam 2300 digital microscope camera mounted on a Leitz Orthoplan microscope.
         Color protocols of the applied staining methods
Haematoxyline/eosine [8]
Bring paraffincoupes via xylol and descending alcohol series into water
steps of 4 min
Nucleus staining with Haematoxylin (b.v. volgens Ehrlich, Gill enz)
4-5 min
Rinse AD ( a short rinse is enough)

Blueing in tap water
10 min
Rinse AD
Eosin 1% (shortly before staining dilute 1:4 + a few drops of glacial acetic acid 2%)
8 min
Rinse AD
Ethanol 70% (until coupe is at right color)
≈ 30-60 sec
Ethanol 96%2 min
Isopropanol 100% 2x4 min
Xylol 14 min
Xylol 24 min
Embedding in e.g. Depex

  

PTAH (Fosforwolfraamheamatoxyline) [7]
Bring paraffincoupes via xylol and descending alcohol series into water
steps of 4 min
Oxidize in potassium permanganate 0.25%
10 min
Rinse AD

Oxalic acid 5% (remove manganese dioxide)
10 min
Rinse AD
Fosforwolfraamhaematoxyline16 hours
Ethanol 96% (i.e. do not rinse with AD first)
≈ 1 min
Ethanol 96%
1 min
Isopropanol 100% 2x4 min
Xylol 14 min
Xylol 24 min
Embedding in e.g. Depex
Fosforwolfraamhaematoxyline:
- Dissolve 1g haematoxylin under heating in 50ml AD;
- Dissolve 20g phosphotungstic acid in 50ml AD;
- Mix both solutions and allow to ripen for several weeks (possibly artificially ripen by adding 0.177g potassium permanganate).
  

Van Gieson (modified) [9]
Bring paraffincoupes via xylol and descending alcohol series into water
steps of 4 min
Core staining with Iron haematoxylin (e.g., Weigert)
4 min
Rinse AD

Blueing in tap water
10 min
Rinse AD
Apply staining solution according to van Gieson
7 min
Rinse AD
Ethanol 96% (rinse several times with clean ethanol, see *)
≈ 1 min
Isopropanol 100% 2x4 min
Xylol 14 min
Xylol 24 min
Embedding in e.g. Depex

Modified 'van Gieson' staining solution:
- 60ml saturated aqueous picric acid solution (pour 1.5g picric acid over 500ml hot water and shake well. Solution is approximately 1.2%);
- Add 5ml of 1% aqueous thiazine red solution and mix.
The original 'van Gieson' solution is made with acid fuchsin but it is unstable with bases and acids so the staining quickly bleaches out. Thiazine red is more resistant to bases and acids.
*Rinsing in multiple steps with ethanol 96% therefore aims to remove all picric acid.
In principle, other haematoxylins can also be used for staining, but iron haematoxylin is more resistant to the acidic environment of the van Gieson staining solution.
  

Trichrom volgens Mallory uit 1900 [5]
Bring paraffincoupes via xylol and descending alcohol series into water
steps of 4 min
Core staining with Fuchsin (acid) 0.1%
6 min
Rinse AD

Fixing in Phosphoric Molybdenum Acid 2%
7 min
Rinse AD
Stain solution according to Mallory
7 min
Rinse AD
Differentiate in Ethanol 96%
≈ 10-30 sec
Isopropanol 100% 2x4 min
Xylol 14 min
Xylol 24 min
Embedding in e.g. Depex

Dye according to Mallory:
- 0.5g Aniline Blue;
- 2g Orange G;
- 2g Oxalic Acid;
- Boil in 100ml Aqua dest. and filter after cooling.
This 1900 variant used oxalic acid. In 1936, the dye was prepared with phosphor tungstic acid. That recipe does not require boiling but only heating.
  

AZAN volgens Heidenhain [6]
Bring paraffincoupes via xylol and descending alcohol series into water
steps of 4 min
Core staining with azocarmine*
90 min
Rinse with aniline ethanol*
3 min
Glacial acetic acid ethanol*
1 min
Fixing in phosphomolybdic acid* 5%
90 min
Rinse AD
Aniline Blue-Orange G-glacial acetic acid*
120 min
Rinse AD
Differentiate in Ethanol 96%
≈ 60 sec
Isopropanol 100% 2x4 min
Xylol 14 min
Xylol 24 min
Embedding in e.g. Depex

*Azocarmine:
- Boil 0.1g azocarmine-G briefly in 100ml AD;
- Allow to cool and filter;
- Add 1ml glacial acetic acid (100%);
When using azocarmine-B, 0.25 to 1g should be used. Again add 1ml glacial acetic acid.
*Aniline ethanol:
- 100ml ethanol (96%);
- add 0,1ml aniline.
*glacial acetic acid ethanol:
- 100ml ethanol (96%);
- Add 1ml glacial acetic acid (100%).
*Phosphoformolybdic acid:
- Dissolve 5g Phosformolybdic acid in 100ml AD.
*Aniline Blue-Orange G-glacial acetic acid:
- Dissolve 0.5g aniline blue + 2g orange G in 100ml AD;
- Add 8ml glacial acetic acid (100%);
- Boil briefly and filter after cooling.
  

Masson-Goldner [4]
Bring paraffincoupes via xylol and descending alcohol series into water
steps of 4 min
Core staining with Iron haematoxylin (Weigert)
3 min (don't overstain)
Rinse AD

Blueing in tap water
10 min
Rinse AD
Azophloxin-glacial acetic acid*
5 min
Rinse in glacial acetic acid 1%
Phosphomolybdic acid-Orange G*
≈ 2 min (don't overstain)
Rinse in glacial acetic acid 1%

Lightgreen SF-glacial acetic acid*
5 min
Rinse in glacial acetic acid 1%
5 min
Differentiate in Ethanol 96% (Lightgreen washes off quickly)
≈ 5 sec
Isopropanol 100% 2x (immediately stops differentiation)4 min
Xylol 14 min
Xylol 24 min
Embedding in e.g. Depex

*Azophloxin glacial acetic acid:
- Dissolve 0.5g azophloxin in 100ml AD;
- Add 0.2ml glacial acetic acid.
*Phosphformolybdic acid-Orange G:
- Dissolve 3g phosphomolybdic acid + 2g Orange G in 100ml AD.
Phosphoric tungstic acid can also be used instead of phosphformolybdic acid.
*Lightgreen SF-glacial acetic acid:
- Dissolve 0.2g lightgreen SF in 100ml AD;
- Add 0.2ml of glacial acetic acid (100%).



Results
Source reference:
[1] Theorie: Junqueira L.C. en Carneiro J. (2004,  tiende druk), Functionele histologie, Maarssen. Uitgeverij Elsevier.
   Hoofdstuk 8,  pag. 161-170, ' Botweefsel', ISBN: 978-9035228627.
[2] Wikipedia, the free encyclopedia,  https://en.wikipedia.org/wiki/Main_Page
[3] Romeis, Prof. Dr. Peter Böck, Urban & Schwarzenberg München 1989, Mikroskopische technik (1989, zeventiende druk), Hoofdstuk 4, pag. 90, 'Pikrinsäure', par. 6.1.10, ISBN 3-541-11227-1
[4] Romeis, Prof. Dr. Peter Böck, Urban & Schwarzenberg München 1989, Mikroskopische technik (1989, zeventiende druk), Hoofdstuk 25, pag. 499, 'Binde- und Stützgewebe', par. 1.3.1.4, Trichromfärbung nach Goldner, ISBN 3-541-11227-1
[5] Romeis, Prof. Dr. Peter Böck, Urban & Schwarzenberg München 1989, Mikroskopische technik (1989, zeventiende druk), Hoofdstuk 25, pag. 500, 'Binde- und Stützgewebe', par. 1.3.1.5, Trichromfärbung nach Mallory, ISBN 3-541-11227-1
[6] Romeis, Prof. Dr. Peter Böck, Urban & Schwarzenberg München 1989, Mikroskopische technik (1989, zeventiende druk), Hoofdstuk 25, pag. 501, 'Binde- und Stützgewebe', par. 1.3.1.7, Azanfärbung nach Heidenhain, ISBN 3-541-11227-1
[7] Romeis, Prof. Dr. Peter Böck, Urban & Schwarzenberg München 1989, Mikroskopische technik (1989, zeventiende druk), Hoofdstuk 25, pag. 507, 'Binde- und Stützgewebe', par. 1.3.4.4, Phosphorwolframhämatoxylin nach Mallory, ISBN 3-541-11227-1
[8] Romeis, Prof. Dr. Peter Böck, Urban & Schwarzenberg München 1989, Mikroskopische technik (1989, zeventiende druk), Hoofdstuk 8, pag. 235, 'Färben', par. 2.5.1, Doppelfärbung mit Hämalaun-Eosin (H&E), ISBN 3-541-11227-1
[9] Romeis, Prof. Dr. Peter Böck, Urban & Schwarzenberg München 1989, Mikroskopische technik (1989, zeventiende druk), Hoofdstuk 8, pag. 236, 'Färben', par. 2.5.2, Dreifachfärbung nach van Gieson (1889), ISBN 3-541-11227-1
[10] Prof. Dr. med. Dr. rer. nat. Ulrich Welsch, Elsevier GmBH, Urban&Fischer Verlag München, Sobotta Welsch Lehrbuch Histologie (2006, tweede druk), Hoofdstuk 3, pag. 137, 139 en 143, 'Gewebe', ISBN 978-3-437-44430-2.
© R. Schulte
Back to content