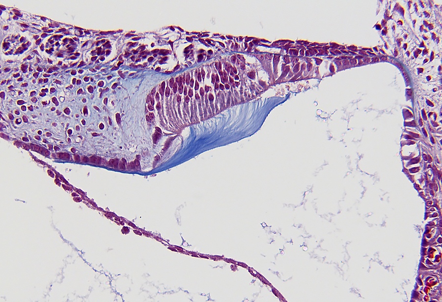
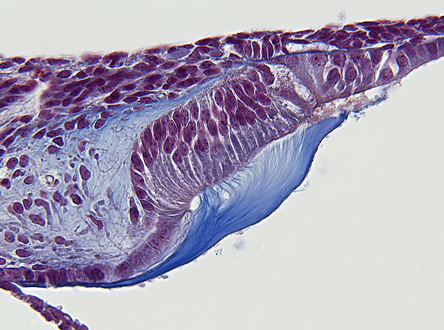
Saggital coupe of a mouse Mallory 1900 stain - The world under the microscope

The world under the microscope
The world under the microscope
Go to content
Saggital coupe of a mouse Mallory 1900 stain.
Tissue preparation.
Self-cultured five-day-old mice were anaesthetized with ether. The extremities and tail section were removed and small incisions were made in the skin to allow the fixative to penetrate easily and as quickly as possible. Homemade Bouinse fluid was used as the fixative.
Mice spent several months in the fixative and this is not harmful to the tissue[1]. A major advantage is that the acid component of the fixative has a beneficial effect on decalcifying the accruing bone tissue. After fixation, the mice were rinsed in ethanol 70%, i.e., not first placed in water as is normally done after fixation. This was done to prevent tissue swelling. After the tissue was dehydrated to 100% ethanol or isopropanol, infiltration in Paraplast plus was started. This Paraffin type ensures rapid and complete infiltration.
Blocks were cut on an A&O-820 rotary microtome with Leica 818 high profile blades. Cut thickness was 4µm. After staining, Depex resin was used to cover sections.
Fixative according to Bouin from 1897[1]:
- 15ml saturated aqueous picric acid solution (≈ 1.2%[2]);
- 5ml Formaldehyde (35%);
- 1ml glacial acetic acid 99%;
Staining
A Trichrome stain according to Frank Burr Mallory[3] from 1900 was used for this section. For a good result it is recommended to stain several sections and play a bit with the staining times. This is because, for example, the Fuchsin over-stain quickly. It is also advisable to lightly over-stain the Aniline-Orange G step and then go to the desired color intensity with differentiation. The author is more comfortable dehydrating further with isopropanol than ethanol because isopropanol stops differentiation better than ethanol.
Trichrom according Mallory from 1900 [4]
Bring paraffin coups via xylol and descending alcohol series in water
steps of 4 min
Nuclear staining with Fuchsin (acid) 0.1%
6 min
Rinse AD

Fixation in Phosphomolybdic acid 2%
7 min
Rinse AD
Stain solution according Mallory7 min
Rinse AD
Differentiate in Ethanol 96%
≈ 10-30 sec
Isopropanol 100% 2x4 min
Xylol 14 min
Xylol 24 min
Embedding in e.g. Depex

Dye according to Mallory:
- 0.5g Aniline Blue;
- 2g Orange G;
- 2g Oxalic Acid;
- Boil in 100ml Aqua dest. and filter after cooling.
This 1900 variant uses oxalic acid. In 1936, the dye was prepared with phosphoric tungstic acid. That recipe does not require boiling but only heating.




Zoomify
Because this coupe shows many different types of tissues in different relationships, a zoomable image was chosen. The section was photographed with a Moticam 2300 camera and here consists of 281 images. The images were stitched together with photoshop and a zoomable image was obtained with the program 'Zoomify'. Different cell types can be clicked in the legend.






 
References:
[1] Romeis, Prof. Dr. Peter Böck, Urban & Schwarzenberg München 1989, Mikroskopische technik (1989, zeventiende druk), Hoofdstuk 4, pag. 97, 'Pikrinsäuregemische', par. 6.2.5.1, ISBN 3-541-11227-1
[2] Romeis, Prof. Dr. Peter Böck, Urban & Schwarzenberg München 1989, Mikroskopische technik (1989, zeventiende druk), Hoofdstuk 4, pag. 90, 'Pikrinsäure', par. 6.1.10, ISBN 3-541-11227-1
[3] Wikipedia, the free encyclopedia,  https://en.wikipedia.org/wiki/Main_Page
[4] Romeis, Prof. Dr. Peter Böck, Urban & Schwarzenberg München 1989, Mikroskopische technik (1989, zeventiende druk), Hoofdstuk 25, pag. 500, 'Binde- und Stützgewebe', par. 1.3.1.5, Trichromfärbung nach Mallory, ISBN 3-541-11227-1
© R. Schulte
Back to content