Iron in macrophages of the lungs - The world under the microscope

The world under the microscope
The world under the microscope
Go to content
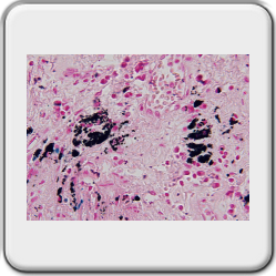
Iron in macrophages of the lungs
Histochemistry: The 'Berliner blue' reaction.
Purpose of the Preparation:The detection of trivalent iron in macrophages (siderophages).

Introduction[1]

In some diseases such as metabolic disorders, an accumulation of iron pigment occurs in cells. This pigment is intracellular, coarse-grained and rusty brown in color; it is "Berliner blue" positive. Increased pigment accumulation is called hemosiderosis. Usually observed in liver, spleen, lungs, kidneys, heart muscles and other organs. Causes may include malfunctions in which erythrocytes fall apart (hemosiderosis), an increased supply of blood (blood transfusions), or increased absorption of iron by the small intestine (hemochromatosis, Trousseau's disease).
The iron can be demonstrated with the 'Berliner blau' reaction. The reaction is called in German: 'Berliner blau' reaction according to Perls. In English: 'Prussian blue' reaction. Introduced by the German pathologist 'Max Perls' between 1843 and 1881.



General[2]

Macrophages belong to the cleanup cells (phagocytes). They are cells of the immune system. They arise from monocytes that exit the bloodstream and transform into macrophages. Multiple macrophages can fuse to form multinucleated giant cells. According to their occurrence they are called differently such as: microglial cells in the central nervous system, kupfer cells in the liver, alveolemacrophage in the lungs (see the preparation: Rat's lungs), multinucleated osteoclasts in bone tissue, chondroclasts in cartilage tissue, histiocytes in connective tissue, hofbauer cells in the placenta.

Hemoglobin (from Greek 'Haima', blood), are iron-containing, oxygen-transporting proteins found in red blood cells (erythrocytes) of vertebrates and their variants. These take up oxygen in the lungs or gills and distribute it throughout the body. Oxygen is bound to an iron complex of protoporphyrin[2] IX (heme compound). Heme B (C34 H34 O4 N4 Fe) occurs as an iron-containing dye in red blood cells. The protein globin, which occurs together with red blood cells, forms the hemoglobin.

Degradation of hemoglobin,
If the red blood cells are at the end of their life span (about 120 days), they are broken down in the mononuclear phagocytes mainly in the spleen (and in the case of a large supply of hemoglobin to be broken down also in the liver and in the red bone marrow). Degradation begins in the spleen, and will continue in the liver. First, the globin is separated from the heme and broken down into amino acids[2]. The heme is cleaved via a cytochrome P450[2]-dependent oxygenase (heme oxygenase) to biliverdin[2], releasing divalent iron (Fe2 +) and carbon monoxide. The iron is released by the macrophage transport protein transferrin[2] present in the blood.

Hemosiderin consists of fragments of ferritin[2], the major storage protein for iron. Chemically, it is a water-insoluble complex of iron and various proteins (proteins); its iron content is about 37%. Hemosiderin, unlike ferritin, is not a physiological storage form and is therefore only found intracellularly, especially in macrophages. It has a golden yellow color that is already visible in histological sections as such but can be specifically stained with the Berliner blue reaction.
Hemosiderin (trivalent iron, Fe 3 +) arises mainly in areas of greater bleeding.
It takes some time (weeks) for the trivalent iron to form. Macrophages loaded with hemosiderin (so-called siderophages) in e.g. the sputum[2] or lungs may give indication of heart failure. Diseases with increased iron levels in the body are called hemosideroses.
Siderophages are thus macrophages that have phagocytosed hemosiderin.


Performance of the Berliner blue reaction,

A hemorrhagic[2] lung (human) and a healthy spleen (rat) were used for this study.
The lung tissue was fixed in formaldehyde and embedded in paraffin. The spleen was embedded in Glycol methacrylate (GMA) plastic (Technovit 7100).
In blood-rich tissue fixed with formaldehyde, a annoying pigment called formaldehyde pigment develops with some regularity. However, this pigment can be removed in a fairly simple manner.
The cut sections, from which the paraffin has been removed and brought up to 100% ethanol, are placed in a saturated ethanolic (100%) solution of picric acid for several hours. It has been found that a treatment time, at room temperature, of two hours is usually sufficient. After the treated slides are briefly rinsed in clean ethanol 100% they can be further hydrated.
This treatment is described in: Romeis, Mikroskopische Technik (17th edition) page 398[3].
Preparation of the reaction solution,[4]

- Mix 2% solution of Potassium hexacyanoferrate(II) (yellow blood leach salt) in aqua dest. in a ratio of 1:1 with a 1% HCL (hydrochloric acid) solution.

The reaction comparison is as follows:


Do not prepare the working solution until just before the reaction is to be carried out. The solution can only be used once.
All instruments such as: beakers, stirrers, spatulas etc. should be made of glass and well cleaned.

Safety: The substance is stable and the highly toxic cyanide is strongly bound under normal conditions. However, after mixing with strong acids, the highly toxic hydrocyanic acid gas is released.

In order to properly assess the slide, it is advisable to run a second slide in the classical HE (Haematoxylin/eosin).

 


References:
[1]  Theorie: C. Thomas. (2006, veertiende druk), Histophatologie, Stuttgart. Uitgeverij Schattauer GmbH. ISBN: 978-3-7945-2429-7, Hoofdstuk 1.4.8,  pag. 14,  'Pigmentstörungen'.
[2]  Wikipedia, de vrije encyclopedie,  https://nl.wikipedia.org/wiki/Hoofdpagina.
[3]  Romeis, Prof. Dr. Peter Böck, Urban & Schwarzenberg München 1989, Mikroskopische technik (1989, zeventiende druk), Hoofdstuk 8, pag. 398, 'Färben', par. 3.2, Doppelfärbung mit Hämalaun-Eosin (H&E), ISBN 3-541-11227-1
[4]  Maria Mulisch and Ulrich Welsch, Romeis Mikroskopische Technik, 18th edition 2010, ISBN: 978-3-8274-1676-6, Pag. 239, Hoofdstuk 3, 'Färbmethoden', index 3.6.10.5 'Eisen'.


© R. Schulte
Back to content